| CATEGORII DOCUMENTE | 
| Alimentatie nutritie | Asistenta sociala | Cosmetica frumusete | Logopedie | Retete culinare | Sport | 
 
  
 
  Traumatism abdominal inchis
 Trusa de lavaj peritoneal  Ruptura
de splina
 
 
 Traumatism abdominal inchis   Traumatism abdominal inchis
  Aspect postsplenectomie Hematom subcapsular
splenic rupt
 
  
 
Traumatism abdominal inchis Traumatism abdominal inchis
Leziune de pancreas Aspect dupa pancreatectomie distala
 
 
 Traumatism abdominal inchis Plaga impuscata abdominala
 Leziune de intestin subtire Orificiu de intrare
 
  
 Leziune de lob drept hepatic prin
impuscare Leziune de lob drept hepatic prin impuscare
 
 
 Leziune hepatica
prin impuscare  Leziune
hepatica prin impuscare
 Orificiu de intrare  Orificiu
de iesire 
 
  
Leziune de cap de pancreas prin impuscare Leziune de cap de pancreas prin impuscare
 
  
Leziune de cap de pancreas prin impuscare Leziune de intestin subtire prin impuscare
 
  
Leziune de intestin subtire prin impuscare Plaga abdominala cu evisceratie
TRAUMATISM ABDOMINAL EXAMINARE FAST

 
 
TRAUMATISM ABDOMINAL EXAMINARE FAST
 
 
 
 
TRAUMATISM ABDOMINAL EXAMINARE FAST
 
 
 
  
Traumatism abdominal inchis  Traumatism
abdominal inchis
Leziune hepatica intraparenchimatoasa Leziune de lob drept
hepatic
 
 
Traumatism
abdominal inchis Traumatism
abdominal inchis
Leziune de splina Leziune de splina 
 
  
  Traumatism abdominal inchis
  Leziune de pancreas ( ambele foto)
 
 
 Traumatism abdominal
inchis
  Leziune pancreatica
 
  
Rinichiul drept   Rinichiul
drept 
Extravazarea substantei de contrast Defect de
umplere - pol superior
 
 
 Rinichiul stang
 Sistem
caliceal, ureter, vezica urinara ocupate de un cheag de sange 
 
 
Lipsa vascularizatiei rinichiului stang Angiograma
Lipsa vascularizatiei rinichiului stang
 
 
Leziune renala Leziune renala
 
  
Leziune
renala Leziune renala prin impuscare
 Orificiu de intrare
 
 
Leziune renala prin impuscar Explozie de rinichi Angiograma
Orificiu de iesire
 
 
Explozie de Rinichi Fractura de coloana vertebrala T7-T8 cu
 Piesa pentru examen morfopatologic compresie
medulara
 
  
  
FRACTURA - LUXATIE T12 FRACTURA COMPLEXA DE COLOANA
VERTEBRALA LOMBARA
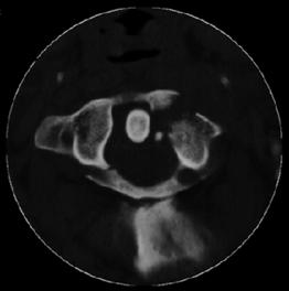
TRAUMA CERVICALA
 
  
  
 
Incidenta laterala  Incidenta
laterala Incidenta
antero-posterioara
Aspect normal Imagine
incompleta Aspect
normal
 
 
  
   
Incidenta occipitomentala (odontoida)
 Aspect normal Incidenta
oblica
 Aspect normal
 
   
  
 
Incidenta oblica Incidenta laterala Incidenta antero-posterioara
Aspect normal Aspect normal Aspect normal



 Fractura
Jefferson
  Fractura
Jefferson
 Fractura Jefferson Fragmente
osoase la stanga apofizei odontoide

 
  
 Fractura Jefferson  Fractura spanzuratului
 Aspect CT 



 
  
  
Fractura spanzuratului Fractura anterioara C4 Fractura C5 in lacrima in flexie
"in lacrima"


 
  
     
  
Fractura C5 "in lacrima" in extensie  Luxatie fatetara
unilaterala  Luxatie
fatetara bilaterala
C5 - C6 C5 - C6
 
  
 
Incidenta laterala Fractura Clay-Shoveler Luxatie atlanto-occipitala si
atlanto-axiala
 
  
  
Fractura de odontoida Fractura de odontoida si Luxatie atlanto-axiala
luxatie atlanto-axiala
 
  
Fractura de odontoida si fractura-luxatie atlanto-axiala Fractura-luxatie C5 - C6
 
  
 Fractura-luxatie C5 - C6 Fractura cominutiva C4
 Imagine CT
 
 Fractura
cominutiva C4
 Imagine CT 
 
 
Fractura-luxatie C7 - T1
TRAUMATISMELE EXTREMITATILOR
 
 
Fractura de humerus
 
  
 
Sindrom de compartiment Sindrom de compartimen
Fasciotomie mediala superficiala Fasciotomie mediala
 
 
Sindrom de compartiment Plaga impuscata in regiunea poplitee
Fasciotomie laterala
 
  
 
 Plaga impuscata in
regiunea poplitee  Leziune de artera
poplitee
 Sectiune de artera
poplitee Refacerea traiectului vascular cu grefa venoasa 
  
   
 
Fracturi simple: SPIRALA OBLICA TRANSVERSALA
 
  
  
   
Fractura spirala de Fractura transversa de diafiza femurala Fractura spirala de diafiza tibiala
diafiza humerala
 
  
  
 
Fractura spirala de diafiza tibiala Fractura oblica de diafiza tibiala Fractura transversala de diafiza tibiala
 
   
       
  
   
  
  
Fracturi cominutive
 
  
 
Fracturi spirala cominutive de Fractura complexa de diafiza radiala diafiza humerala
 f
   f
Fractura multisegmentara intertrohanteriana Fractura Salter - Harris I
 
  
Fractura Salter - Harris I Fractura Salter - Harris II
 
Fractura Salter - Harris III
 
   
  
Fractura Salter - Harris IV Fractura Salter - Harris V
 
 
 Largirea articulatiei scafo-lunare    Fractura
Galeazzi
 Semnul Terry Thomas
 
 
Fractura Galeazzi Fractura Monteggia
 
  
  
 
Fractura Monteggia Fractura 1/3 proximala radius si ulna Fractura proximala intracapsulara
 de humerus
  Luxatie
gleno-humerala
  
  
 Fractura proximala
intracapsulara de humerus Fractura proximala intracapsulara de humerus
 Luxatie
gleno-humerala Luxatie gleno-humerala
 Aspect CT  Aspect
CT
 
 
Luxatie de sold stang Luxatie de sold stang
 
 
 Fractura
de cap femural  Fractura de cap femural
  Aspect
CT
 
 
 Fractura
de cap femural Fractura subcapitala cu usoara deplasare 
 Aspect CT 
  
 
Fractura intertrohanteriana multifragmentara Luxatie de patela
TRAUMATISME TORACICE
 
  
 
Emfizem subcutanat
 
 
 Emfizem subcutanat Emfizem subcutanat
 Aspect radiologic Imagine CT
 
 
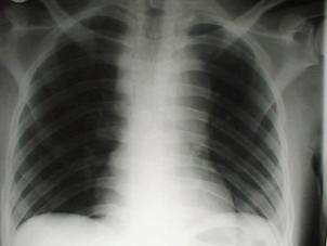
Pneumotorace sufocant bilateral Pneumotorace sufocant stang
 
  
 
Pneumotorace
sufocant stang Pneumotorace
sufocant drept Pneumotorace
sufocant drept
  Imagine
CT Imagine CT
 
   
 
 Pneumotorace deschis Pneumotorace
deschis Traumatism
toracic deschis cu 
 hernierea parenchimului pulmonar 
(stanga) Contuzie pulmonara (dreapta)
 
 
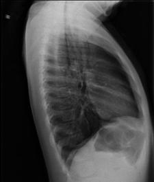
Traumatism toracic deschis Hemotorace stang masiv
hernierea parenchimului pulmonar
(stanga) Contuzie pulmonara (dreapta)
 
  
Hemotorace stang masiv Hemotorace stang masiv
 
 
 Hemotorace
drept masiv  Hemotorace stang
 Imagine CT Radiografie efectuata in ortostatism
  
 
   Hemotorace drept  Hemo-pneumotorace stang
Radiografie efectuata in clinostatism
 
  
Hemo-pneumotorace stangDetaliu Fracturi costale multiple.Volet costal drept
 
 
 Fracturi costale multiple  Hemitorace drept strivit
 Volet costal si hemotorace
drept Fracturi costale multiple 
Volet costal si hemotorace drept
 
  
 
 Hemitorace drept strivit Hemitorace drept strivit Hemitorace drept strivit
 - dupa
ventilatie - Stabilizare interna chirurgic - dupa stabilizare
chirurgicala interna -
 
  
Plaga penetranta in regiunea precordiala Plaga penetranta in regiunea precordiala
 
  
Corp ascutit penetrat in regiunea precordiala Mediastin largit
 
    
 
 Aortograma  Mediastin largit
Leziune la nivelul istmului aortic 
 
  
Aortograma.Leziune
situata distal de  Aorta
clampata
 emergenta arterei subclavii stangi Segment
lezat excizat
 
  
Contuzie pulmonara stanga Contuzie pulmonara dreapta
  
 
Contuzie pulmonara dreapta.Imagine CT
 
 
Ruptura de trahee
 
  
Perforatie
esofagiana  Leziune de
hemidiafragm drept
Pneumomediastin
 
  
Leziune de hemidiafragm drept Leziune de hemidiafragm stang
 
  
Leziune de hemidiafragm stang Leziune de hemidiafragm stang
 
 
Leziune de hemidiafragm stang Leziune de hemidiafragm drept
 
  
Ruptura de hemidiafragm stang cu hernierea Ruptura de hemidiafragm stang cu hernierea
stomacului si splinei stomacului si splinei.Imagine CT
 
  
 
Ruptura de
hemidiafragm stang cu hernierea   Ruptura de diafragm
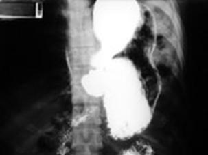
 stomacului si splinei Radiografie cu substanta de contrast
 
 
Ruptura de diafragm Ruptura de diafragm. Gastrotorax
 
  
Ruptura de diafragm. Gastrotorax Imagine CT
 
  
Pneumotorace simplu stang Pneumotorace
simplu stang

Pneumotorace
simplu stang 
__________ ______ ____ __________ ______ ____ _____ _______ ______ ___________
TRAUMATISMELE UROGENITALE (fara foto)
TRAUMATISMELE PELVIENE
 
 
Traumatism
pelvian Hemipelviectomie dreapta posttraumatica
Ruptura de perete abdominal anterior
 
 
Fixator extern
 
 
Fixator extern Ganz Centura de stabilizare London
 
  
Centura de
stabilizare London aplicata Centura
de stabilizare London aplicata
  Pliere in
vederea efectuarii unei laparotomii
 
 
Banda de stabilizare Geneva Banda de stabilizare Geneva aplicata
 
  
 
Banda de stabilizare Dallas     Fractura de bazin. Radiografie in
incidenta AP 
  Inaintea
aplicarii benzii de stabilizare Dallas  
 
 
Fractura de bazin
. Radiografie in incidenta AP   Fractura de spina
iliaca antero-superioara 
Dupa aplicarea benzii de stabilizare Dallas   prin avulsie. - Stabila -
  
   
 
 Fractura de ram pubian cu minima
deplasare  Fractura transversa de
sacru sau coccis 
   - Stabila -   - Stabila -
 
  
Fisura de sacru si fractura ipsilaterala de ram pubian   Fractura Straddle
 -
Stabila -  
 
   
 
Fractura Malgaigne Fractura Malgaigne. Imagine CT
 
  
 
Fractura de
aripa iliaca stanga  Fractura de aripa iliaca
stanga
Disjunctie sacro-iliaca stanga Disjunctie
sacro-iliaca stanga Aspect CT 
Compresie laterala
 
 
Fracturi pelviene multiple Fracturi pelviene multiple
Compresie bilaterala Compresie bilateralaAspect CT 
  
   
  
Fracturi pelviene multiple  Fracturi bilaterale de ramuri pubiene
Compresie bilaterala Aspect CT Disjunctie sacro-iliaca stanga Compresie antero-posterioara
 
 
Cistograma  Fracturi ale ambelor
ramuri pubiene
Contur neregulat al vezicii urinare Disjunctie
sacro-iliaca dreapta
Hematom pelvian
 
  
  
Disjunctie de simfiza pubiana Disjunctie
de simfiza pubiana
Disjunctie sacro-iliaca stanga Disjunctie sacro-iliaca stanga. Aspect CT
 
  
Fractura de coloana anterioara si posterioara Fractura de coloana anterioara si posterioaraAspect CT
asociata cu fractura de aripa iliaca stanga
 
 
 Fractura de acetabul Fractura de acetabul. Aspect CT 
 
              
                Vizualizari: 8071				
                Importanta: 
Termeni si conditii de utilizare | Contact 
     
      © SCRIGROUP 2025 . All rights reserved