| CATEGORII DOCUMENTE |
| Alimentatie nutritie | Asistenta sociala | Cosmetica frumusete | Logopedie | Retete culinare | Sport |
Clinica tumorilor vezicale
1. Semne si simptome
Hematuria, cel mai frecvent simptom din cancerul vezicii urinare, este nedureroasa, prezentata de aproximativ 85% din pacienti. In realitate aproape toti pacientii cu cancer detectabil cistoscopic au cel putin microhematurie. Hematuria este frecvent intermitenta, de aceea rezultatele negative la una sau doua probe nu infirma prezenta cancerului. Daca la prima proba apare hematurie (micro sau macroscopic) si la a doua nu, se indica fara nici o retinere examenul cistoscopic.
Hematuria are, in general, caracterele celei provocate de tumori; variabila ca intensitate, capricioasa ca orar, dar adesea insotita de semne si simptome care atrag atentia asupra vezicii urinare. Caracteristicile hematuriei provocate de tumorile vezicale, ca de altfel intreaga simptomatologie a acestora sunt conditionate de infiltratie si complicatii. Intr-un numar important de cazuri, hematuria constituie semnul care conduce la diagnostic si poate ramane singurul pe toata perioada evolutiei clinice. Prin opozitie, hematuria tumorilor infiltrante poate avea intensitate mai mica, fiind deseori insotita de semnele reducerii capacitatii vezicale si supuratiei mucoasei patologice.
Hematuria determina bolnavul sa se prezinte la consult medical, constituind - prin urmare - un semn favorabil diagnosticului. Dar nu toate tumorile vezicale sangereaza. La circa 10-15% din cazuri, hematuria nu va fi consemnata niciodata in cursul intregii evolutii! Intre hematurie si caracterele anatomice ale tumorii nu se poate stabili nici un raport precis. Tumori papilare mari pot sangera inconstant si tardiv, in timp ce altele mai mici, pediculate si suple, sangereaza persistent si abundent.
Piuria se intalneste rar ca semn izolat, dar prezenta ei tradeaza tumori infiltrative, ulcerate, sfacelate, necrozate, cu supuratie asociata. Ignorand semnele si simptomele asociate, piuria poate orienta diagnosticul spre litiaza infectie urinara etc.
Polakiuria este inconstanta si se intalneste cu frecventa variind in jurul a 20%, foarte rar izolata. Apare mai frecvent in formele infiltrative, care diminueaza capacitatea si supletea organului, insotind alte manifestari de tip vezical. In general este un semn de etapa tardiva in evolutia tumorilor vezicale.
Disuria se poate instala drept consecinta a infiltrarii colului vezical in cazul localizarilor cervico-trigonale, si se poate manifesta izolat (semn foarte rar, pana la 2% din toate cazurile), fie in ansamblul simptomatic descris pana in prezent.
Disuria poate surveni consecutiv cheagurilor din vezica urinara sau unor franjuri tumorale papilare care se angajeaza in col in timpul mictiunii. Tumorile cu localizare cervicala sau plonjante in colul vezical pot reproduce toata simptomatologia obstructiva indusa de adenoamele prostatice, la care se adauga hematuriile relativ frecvente si importante cantitativ.
Durerea pelvina. Intalnita cu o incidenta variabila (5-15%) este semnul sugestiv de infiltratie tumorala pelvina sau metastaze in oasele bazinului. Manifestarile obisnuite constau in senzatii dureroase pelvine, hipogastrice sau perineale, spontane sau declansate de mictiune, putand avea iradieri in perineu, rect, gland, etc.
Cistita tumorala. Este sindromul cvasicaracteristic tumorilor vezicale avansate, cu aparitie tardiva, rezultat din invazia detrusorului, supuratia tumorii, reducerea capacitatii vezicale si infiltratiile neoplazice parietale. In aceasta faza, frecventa cistitei tumorale depaseste 45%, deosebindu-se de cistitele de alta etiologie prin caracterul predominant hemoragic si tenacitatea durerilor, rebele la tratament. Polakiuria nocturna intensa, care provoaca lipsa de somn, impregnarea tumorala, anemia prin spoliere hemoragica, dau bolnavului un aspect intoxicat, palid-cenusiu, de mare suferinta, care se coreleaza cu pierdere ponderala, astenie, adinamie, stare de rau general. In aceste cazuri, simptomele de boala avansata includ dureri osoase induse de metastaze sau dureri lombare prin extensie limfoganglionara retroperitoneala sau obstructii ureterale cu simptomatologie secundara insuficientei renale.
2. Examenul local
Examenul local consta in inspectia si palparea abdomenului, dar mai ales din examinarea vezicii urinare prin palparea hipogastrului combinata cu tactul rectal sau vaginal. Bolnavul va fi examinat pe masa urologica sau ginecologica, in pozitie de talie perineala, cu vezica urinara goala. Cele mai complete date le obtinem daca bolnavul este anesteziat si miorelaxat.
Tumorile papilare mici nu se palpeaza. Cele mari se prezinta la tactul rectal ca o masa imprecis delimitata in interiorul vezicii, mobila, de regula nedureroasa. Infiltratia incipienta schimba consistenta peretelui vezical, pe care il face ferm, elastic, in timp ce induratia profunda se prezinta ca un nodul sau zona dura, neregulata, cu margini imprecise.
Extensia perivezicala reduce mobilitatea organului pe care il fixeaza la peretii pelvisului sau realizeaza o carcasa dura, lemnoasa, care sterge toate reliefurile, uneori ingustand ampula rectala. Alteori, se poate palpa suprapubian vezica destinsa sau chiar masa tumorala.
Examenul obiectiv mai poate pune in evidenta nefromegalia consecutiva invadarii ureterale, hepatomegalia metastatica sau adenopatia supraclaviculara. In unele cazuri avansate locoregional prezenta limfedemului genital, hipogastric, cu extensie la membrele inferioare, sugereaza adenopatie pelvina neoplazica. Unii pacienti prezinta semne generale de anemie, paloare, semne de impregnare neoplazica etc.
Dupa Wallace (Fig.24 a,b,c,d) [270], dificultati de palpare a unei tumori vezicale pot aparea in urmatoarele situatii :


a) Tumora vezicala de dimensiuni mici. b) Tumora localizata la nivelul domului vezical.


c) Tumora vezicala in trigon. d) Vezica urinara in repletie
Figura 24.
3. Investigatii de laborator
In cazul unui pacient cu tumora vezicala, investigatiile de laborator pot fi impartite in doua mari categorii:
a. uzuale - necesare oricarui bolnav, pentru evaluarea echilibrului biologic general (hematologice, hepatice, metabolice, etc).
b. specifice - care se adreseaza direct leziunii neoplazice uroteliale. Cele specifice sunt reprezentate de: citologia urinara exfoliativa, testul de inhibitie a aderentei limfocitare si markerii de diagnostic.
Investigatiile de rutina
Cea mai frecventa manifestare sugestiva de tumora a tractului urinar este hematuria. Aceasta poate fi asociata cu piurie uneori, rezultanta a cistitelor microbiene, eventualitate in care simptomatologia clinica este, de regula, decisiva pentru diagnostic.
Probele de functie renala sunt conservate multa vreme, dar acestea pot indica valori sugestive de insuficienta renala in localizarile tumorale trigonale cu obstructii ureterale consecutive sau in tumorile avansate loco-regional, cu adenopatie pelviana compresiva pe uretere.
Hematologic, anemia este constatarea cea mai frecventa, urmare a pierderilor prin hematurie sau a localizarilor tumorale metastatice in maduva osoasa
Citologia urinara exfoliativa
Celulele uroteliale sunt eliberate in urina continuu, odata cu moartea lor programata, fenomen ce poarta denumirea de apoptoza. Celulele uroteliale exfoliate sunt o sursa bogata pentru analiza citologica [103].
Odata cu dezvoltarea unui cancer urotelial, apare o exfoliere bogata de celule anormale, datorata tendintei de eliminare prematura a acestora, ca rezultat al scaderii productiei de molecule de adeziune celulara.
Majoritatea tipurilor morfologice includ hiper- sau hipocromozomie, neregularitatea cromatinei, neregularitatea membranei nucleare si cresterea volumului nucleilor celulari [103].
Celulele pentru examenul citologic pot fi obtinute in mai multe feluri:
din urina eliminata spontan - dar niciodata din prima mictiune matinala, deoarece urina nocturna stagnanta contine prea multe celule macerate.
in timpul unei cistoscopii.
prin barbotaj vezical - pe teaca cistoscopului sau pe cateter uretro-vezical.
Tractul urinar este acoperit de un epiteliu ce trimite prelungiri citoplasmatice catre membrana bazala. Acest epiteliu, numit epiteliu de tranzitie, are particularitatea de a fi elastic, printr-un proces de alunecare a celulelor, in functie de variatiile de volum ale vezicii urinare atunci cand este plina sau goala.
Cancerul vezical este o maladie de camp urotelial, multicentrica si cu stadii variabile ale procesului carcinogenetic. Astfel, exfolierea celulara elimina o cantitate foarte variata de tipuri celulare, de la cele normale, pana la celule partial alterate sau partial transformate malign [103].
Metoda se bazeaza pe evidentierea directa, pe frotiu, a celulelor maligne exfoliate. Fixarea si colorarea se fac dupa tehnica Papanicolau sau prin colorare simpla cu albastru de metil.
La examenul frotiului se gasesc celule superficiale mari, uni- sau multinucleate, celule intermediare, rare celule bazale, celule de provenienta renala, prostatica sau din uretra.
Pentru a pune diagnosticul de malignitate, se analizeaza numarul celulelor exfoliate, dispozitia acestora izolata sau in placarde, modificarile de talie si contur ale nucleilor si modificarile structurii cromatinei [64].
Citologia urinara exfoliativa poate fi folosita:
in scop de diagnostic al cancerului tractului urinar
pentru monitorizarea pacientilor dupa tratamentul cancerului urotelial
ca screening al populatiei cu risc crescut
ca prognostic al potentialului biologic al cancerului urotelial.
Utilizand biomarkeri cantitativi celulari, creste cantitatea de celule neoplazice care pot fi detectate intr-o proba de urina fata de examenul morfologic singur.
Sensibilitatea citologiei urinare exfoliative este direct proportionala cu gradul de displazie celulara: 37-50% pentru tumorile cu grad jos de displazie, respectiv 74-100% pentru tumorile sesile, cu grad inalt de displazie [103].
Figura 25. Aspect microscopic de citologie urinara - celule tranzitionale neoplazice atipice, unele multinucleate - coloratie HE (x256) (dupa [43]).
Acuratetea citologiei urinare exfoliative poate fi afectata de mai multi factori:
gradul de displazie al tumorii - o treime din tumorile G1 dau rezultate negative
modificari morfologice inflamatorii
modificari morfologice post-iradiere
modificari morfologice determinate de chimioterapia instilationala locala sau sistemica.
Dupa imunoterapia cu BCG, modificarile citologice sunt nespecifice si reflecta doar reactia inflamatorie locala [103].
In afara acestor factori, limitele metodei sunt impuse si de diferenta mare intre sensibilitatea si specificitatea citologiei urinare.
Mai multe studii au aratat rata sensibilitatii sub 50%, in timp ce rata specificitatii a depasit 95% [16, 25, 101].
De asemenea, se apreciaza ca citologia urinara exfoliativa efectuata de rutina la toti pacientii cu hematurie nu este relevanta, rolul ei fiind doar de suport diagnostic. Intotdeauna examenele citologice trebuie completate cu ecografia, urografia intravenoasa si cistoscopia [25].
S-a mai observat ca citologia urinara exfoliativa pozitiva la 2-4 saptamani de la rezectia endoscopica, arata concomitenta tumorii initiale cu carcinomul in situ (Cis) [66].
Testul de inhibitie a aderentei limfocitare
Testul de inhibitie a aderentei limfocitelor din ser a fost descris pentru prima data in anul 1972 de Halliday si Miller [citat de 195]. Acest test se bazeaza pe observatia ca leucocitele sensibilizate, in prezenta antigenelor tumorale de suprafata, isi scad aderenta la o suprafata de sticla.
In etapa initiala, experimentala, s-au prelucrat limfocite de la donatori sanatosi, iar ca antigen tumoral s-a folosit o cultura de celule tumorale vezicale - T24.
Testul se efectueaza in tuburi capilare de sticla. Ulterior s-a observat ca testul este rapid si usor de efectuat, este reproductibil, avand o specificitate de aproximativ 80% [195].
Cu toate acestea, acest test nu s-a impus pe plan general, neexistand studii de valoare privind acuratetea lui in diagnosticul cancerului vezical superficial.
Evaluarea citogenetica in cancerul vezical
Cancerul vezical este al doilea intre cancerele aparatului urinar, al patrulea cancer masculin si al optulea cancer feminin din toate cancerele. Un procent de 70 - 80% din pacientii cu cancer vezical primar au tumori superficiale, stadiul pTa sau pT1. In 60 - 80% din cazuri, aceste tumori recidiveaza dupa rezectia endoscopica, in timp ce aproximativ 10% din ele evolueaza, progresand in tumori care invadeaza muschiul [47].
Cistoscopia si citologia urinara sunt considerate metodele standard pentru identificarea si monitorizarea tumorilor vezicale.
Citologia urinara exfoliativa, desi are specificitate mare (95%), sensibilitatea ei este mult mai mica (30 - 60%), cu valori ceva mai crescute pentru tumorile invazive si Cis comparativ cu tumorile papilare cu grad mare de diferentiere.
De asemenea, rezultatele nu sunt imediat disponibile si sunt dependente de experienta anatomo-patologului. De aceea este necesar sa avem mijloace adecvate pentru imbunatatirea detectarii tumorilor vezicale.
Sunt necesare metode noi atat pentru detectarea cancerului vezical cat si pentru predictia timpurie, cat mai precisa a recidivelor tumorale, a progresiei tumorale si pentru dezvoltarea metastazelor.
Urologul trebuie sa poata decide care tumora superficiala necesita tratament agresiv, sau care tumora invaziva ar necesita terapie adjuvanta si care operatie radicala.
Markerii tumorali de diagnostic sunt detectati in mare masura in probele de urina si numai in mica masura in mucoasa vezicii urinare, in timp ce markerii de prognostic, predictivi, sunt analizati aproape exclusiv la nivelul tesutului tumoral.
Tabel nr.11. Markeri de diagnostic ai cancerului vezical [101].
|
Antigene asociate tumorii |
T138, M334, 19A211, LDQ19, NMP22, BLCA-4, DD23, AN43, BB369, S100A7, 486P3/12 |
|
Antigene de grup sanguin |
ABO, Lewis a, b, x, y |
|
Produsi de degradare |
FDP |
|
Markeri de imortalitate celulara |
Telomeraza |
|
Markeri de citoschelet |
Actina, CK |
|
Secvente de ADN |
Detectare cu microsateliti |
|
Altele |
Uroplakerie, CD44, HA |
Analizele datelor clinice si biochimice sunt exprimate prin mai multi parametri care se bazeaza pe rezultatele testelor efectuate:
a). sensibilitatea - sensibilitatea unui test sau a unui marker defineste probabilitatea de a identifica corect o persoana cu tumora (A/A+C).
b). specificitatea - specificitatea unui test sau a unui marker defineste probabilitatea de a identifica corect o persoana fara tumora (D/B+D).
c). valoarea predictiva - probabilitatea ca diagnosticul sa fie corect este definita prin valorile predictive: negativa (D/C+D)
pozitiva (A/A+B).
d). semnificatia statistica - defineste relatia observata care este suficient de mare sau suficient de puternica pentru a nu fi datorata intamplarii. Semnificatia la nivelul de 0,05 este cel mai scazut nivel care se accepta si inseamna ca sansa ca un eveniment dat sa apara din intamplare este mai mica decat 5%.
Tabelul nr.12. Analiza rezultatelor testelor [dupa 34].
|
Rezultatul |
Situatia renala | ||
|
Testului |
Tumora (pozitiv) |
Sanatos (negativ) |
|
|
Tumora (pozitiv) |
Corect pozitiv A |
Fals pozitiv B |
|
|
Sanatos (negativ) |
Fals negativ C |
Corect negativ D |
|
Markerii de diagnostic
A. Antigenele asociate tumorii
Antigenele tumorale asociate pot fi detectate atat in probele de urina, cat si in fragmentele bioptice de tesut. Studiile de screening cu anticorpi au condus la obtinerea unui numar de anticorpi monoclonali, care s-au dovedit mai mult sau mai putin specifici pentru carcinomul tranzitional vezical. Pana in prezent numai unii din acesti anticorpi au valoare clinica.
Antigenele au, de obicei, aceeasi denumire cu anticorpul corespunzator.
De exemplu M344-Ag este un antigen mucin-like, situat in citoplasma, exprimat in 70 - 90% din tumorile vezicale superficiale, 25% din Cis si 15% din tumorile invazive. Expresia lui M344-Ag descreste odata cu cresterea grading-ului tumorii [102].
19A211-Ag este un antigen de suprafata si este o sialoglicoproteina. Expresia acestui antigen este de aproximativ 70 - 90% in tumorile vezicale superficiale Ta si T1, 60% in Cis si 50% in tumorile invazive.
Antocorpii monoclonali corespunzatori celor doua antigene pot avea relevanta diagnostica. Ratele de recidiva a tumorilor vezicale superficiale sunt asociate cu prezenta celor doua antigene. Astfel, 75% din pacientii la care testul pentru anticorpi a fost pozitiv au dezvoltat recidiva tumorala, in comparatie cu 20% din pacientii la care testul a fost negativ [101].
T138-Ag este un antigen de suprafata si este o glicoproteina. El este exprimat in 15% din tumorile vezicale superficiale si in 60% din tumorile infiltrative. Are importanta diagnostica si prognostica. Expresia lui a fost asociata cu dezvoltarea metastazelor la pacientii cu carcinom vezical tranzitional.
Foarte important este faptul ca toate cele trei antigene sunt absente in epiteliul normal [16].
Alte antigene tumorale asociate ca: DD23, 486P 3/12, S10QA7 s.a.m.d. sau anticorpi monoclonali au relevanta mai mica sau sunt in curs de investigare.
Pentru imbunatatirea detectarii timpurii a cancerului vezical au fost imaginate in ultimii ani numeroase teste pentru analiza probelor de urina, enumerate in tabelul urmator:
Tabelul nr.13. Teste de analiza a probelor de urina (dupa Kurth).
|
Test / marker |
Sensibilitate (%) |
Specificitate (%) |
|
BTA (Bladder Tumor Antigen) BTA stat BTA track | ||
|
Immunocyt | ||
|
NMP22 | ||
|
Lewis x Antigen | ||
|
Accu Dx | ||
|
Telomeraza | ||
|
Cyfra 21-1 | ||
|
Citologia urinara exfoliativa |
B. Testul BTA
In anul 1995, Soloway a raportat primele rezultate ale utilizarii unui test simplu, rapid si ieftin, folosit complementar cistoscopiei la detectarea tumorilor vezicale [78].
Testul BTA (Bladder Tumor Antigen) produs de firma BARD este un test multistep de aglutinare la latex, folosit pentru detectarea calitativa a antigenului tumoral vezical in probele de urina. Acest antigen tumoral este o proteina din membrana bazala care se elibereaza in urina la pacientii cu cancer vezical. Pe parcursul proliferarii tumorale, in urina se gaseste un complex de degradare proteolitica a moleculelor cu masa mare, format din polipeptide specifice cu greutate moleculara intre 16 si 165 KD. Testul consta din amestecul unei probe de urina cu particule de latex acoperite cu IgG umana si agenti blocanti.
Daca degradarea complexelor proteolitice, masurata de antigenul tumorii vezicale este prezenta, complexele se combina cu particulele de latex si formeaza o reactie de aglutinare. Odata cu fenomenul de aglutinare, pe tester se modifica culoarea in functie de rezultat, care se compara cu culoarea de pe testul martor [92, 103, 229].
Rapoartele initiale au fost promitatoare, indicand o sensibilitate mai mare decat citologia urinara in detectarea tumorilor vezicale primare si a recidivelor. Studiile ulterioare au publicat insa rezultate contradictorii, sensibilitatea testului fiind mult mai mare decat specificitatea, in comparatie cu citologia urinara exfoliativa unde raportul sensibilitate / specificitate este invers [96].
Modificarile consecutive aduse testului au dus la descoperirea testelor BTA stat si BTA track.
BTA stat este un test imunocromatografic care utilizeaza anticorpi monoclonali ce detecteaza specific prezenta antigenului tumorii vezicale in urina [208].
O cantitate din urina pacientului este introdusa intr-un godeu unde reactioneaza cu un anticorp conjugat cu aur coloidal. Daca antigenul este prezent in proba, se va forma un complex antigen-conjugat.
Amestecul din reactie trece printr-o membrana care contine anticorpi imobilizati. Complexele antigen-conjugat sunt captate de un al doilea anticorp formand o linie vizibila pe test. In absenta antigenului tumoral nu se formeaza nici o linie [205].
BTA stat este un test calitativ cu o singura etapa, rapid, ce poate fi efectuat in orice cabinet de consultatii [92, 205].
BTA track se bazeaza pe detectarea proteinei H legate de factorul complementar uman. BTA track este un test enzimatic, cantitativ, in doua etape, de tip ELISA ce se poate efectua numai in laborator. Spre deosebire de BTA stat unde rezultatul se obtine in 5 minute, la BTA track rezultatele sunt disponibile in aproximativ 3 ore [205].
In ciuda detectarii corecte, in mai multe studii si BTA stat si BTA track continua sa fie limitate de relativ frecvente rezultate fals-pozitive.
Fiabilitatea testului este dependenta de [92]:
temperatura - intre 2 - 300C
recipientul in care se conserva urina
alte maladii - nefrita, litiaza urinara, cancer renal, traumatisme de aparat urinar.
C. Testul Immunocyt
Testul Immunocyt detecteaza antigenele tumorale asociate descrise anterior, M344 si 19A211, ca si LDQ19, in urina. Anticorpul monoclonal LDQ10 detecteaza epitopii apomucinei MUC 2 care este caracterizata prin expresia alterata in cancerele vezicale si in alte tumori epiteliale [103].
Acest nou test este un test imunocitochimic a carui sensibilitate s-a aratat a fi mai mare decat cea a citologiei urinare in detectarea cancerelor vezicale, mai ales a tumorilor cu grad mic de displazie. Totusi specificitatea lui s-a dovedit a fi mai mica decat a citologiei urinare. Detectarea combinata a mai multor antigene cu acest test imunocitochimic pare sa fie foarte promitatoare, desi au fost putine date publicate pana acum [96].
Teste cu sensibilitate atat de mare, ar putea inlocui sau prelungi intervalele dintre cistoscopii in urmarirea tumorilor vezicale in viitor [40].
D. Testul NMP22
Matricea nucleara este o structura fara cromatina care sustine forma nucleului, organizeaza ADN-ul si este implicata in replicarea ADN-ului si in expresia genelor. Anumite proteine din matricea nucleara au fost identificate ca markeri tumorali [231].
NMP22 este una din proteinele matricii nucleare, identificata ca marker tumoral in cancerul vezical. Aceasta este recunoscuta de doi anticorpi monoclonali, MAb 302-22 si MAb 302-18. Acesti anticorpi monoclonali au fost obtinuti prin imunizarea soarecilor cu proteina din matricea nucleara a celulelor canceroase purificate. Antigenul detectat de acesti doi anticorpi monoclonali se afla in nucleul celulelor tumorale. Dupa moartea celulelor tumorale, in timpul apoptozei, NMP22 este eliberata extracelular si poate fi cuantificata in urina cu ajutorul anticorpilor monoclonali.
In studii recente NMP22 este descris ca un test cu raport bun cost/eficienta si cu sensibilitate si specificitate bune. Folosirea acestui test in examinarea clinica de rutina este insa limitata de criteriile de excludere [208]:
infectiile
inflamatiile benigne
litiaza renala sau vezicala
istoric recent de corp strain in tractul urinar
alt cancer genito-urinar
proba urinara recoltata instrumentar.
Din aceasta cauza, date foarte heterogene au fost raportate cu privire la acuratetea testului. Unele studii au publicat o rata de diagnostic pozitiv in tumorile vezicale superficiale de 70% si de 100% pentru cele infiltrative.
Sensibilitatea totala pentru cancer urotelial a fost de 80,9%, cu valoare predictiva pozitiva de 30,9% si negativa de 94,9%. Procedura este insa complicata, dureaza mult (4 - 5 ore) si necesita personal de laborator foarte bine calificat [141].
Studiile comparative au aratat o sensibilitate mai buna a NMP22 (74%) fata de BTA stat (57%) si BTA track (62%), cu specificitate mai slaba, NMP22 (55%), BTA stat (62%) si BTA track (79%), dar cu valori predictive pozitive si negative asemanatoare. Insa nici unul din cele trei teste nu poate inlocui cistoscopia si nu poate fi adaptat ca instrument de rutina in urmarirea pacientilor rezecati pentru tumora vezicala superficiala [208].
Recent s-au descoperit 6 subcategorii ale NMP notate cu BLCA de la 1 la 6, prezente numai in tesutul tumoral vezical. Cei care au descoperit aceste subcategorii, au detectat prezenta de BLCA 4 in urina pacientilor cu cancer vezical superficial utilizand o metoda imunologica. Nivelele de BLCA 4 au fost semnificativ mai mari la pacientii cu cancer fata de cei fara cancer. Pe baza rezultatelor initiale, s-a concluzionat ca nivelele de BLCA 4 au acuratete mai mare decat NMP22 si sunt mai specifice atata timp cat ele nu au fost gasite in alte tesuturi sau tipuri tumorale [177].
E. Antigenele de grup sanguin
Un grup mare de molecule antigenice este prezent pe suprafata tuturor celulelor. Ele sunt asociate cu diferite procese cum ar fi: recunoasterea celulelor, semnalizare, adeziune celulara [16].
Alterari in diferentierea celulara, proliferarea sau morfologia lor sunt frecvent insotite de alterarea expresiei acestor molecule [103].
Antigenele de grup sanguin ABO si Lewis sunt molecule celulare de suprafata. Ele au fost descrise initial pe suprafata eritrocitelor, apoi au fost identificate si in alte tesuturi epiteliale, inclusiv in uroteliu.
Desi initial, urmarind prin hemaglutinare mixta cu antigen ABO un numar de bolnavi cu cancer vezical s-a constatat ca cei cu antigene prezente nu au recidiva, ulterior cei cu antigene absente au prezentat atat recidive cat si agravare stadiala a tumorii [64]; relevanta clinica nu a putut fi demonstrata decat pentru evaluarea antigenului Lewis X (LeX).
LeX este exprimat in peste 90% din celulele carcinoamelor tranzitionale si in mod normal este absent in celulele uroteliale normale. Studiile efectuate au aratat ca testul imunocitologic LeX impreuna cu citologia urinara au sensibilitate mare in detectarea cancerului vezical, mai ales a tumorilor cu grad mic de displazie, mai mare decat citologia urinara singura. Testul a aratat o sensibilitate de aproximativ 80% si o specificitate de 86% [101].
F. Testul Accu-Dx (produsii de degradare ai fibrinogenului)
Productia crescuta de factor de crestere vasculara endoteliala, care mareste permeabilitatea vaselor sanguine este o caracteristica atipica a celulelor neoplazice vezicale. Proteinele plasmatice, consecutiv se vor "scurge" din vasele de sange ale tumorii in tesutul inconjurator. Factorii de coagulare vor converti rapid fibrinogenul din plasma intr-un cheag de fibrina extravasculara care este degradat de catre plasmina activata de urokinaza [16].
Degradarea acestor produsi in urina poate fi detectata in mod calitatativ cu testul Accu-Dx [36].
In anii '70 s-a descoperit o asociere intre cancerul vezical si o cantitate crescuta de produsi de degradare ai fibrinei in urina (FDP). Studiile initiale au comparat testul Accu-Dx cu citologia urinara exfoliativa gasind ca sensibilitatea primului este mai mare (68% fata de 34%), iar specificitatea de 75% la cei cu cancer vezical si 96% la cei sanatosi. Totodata s-a remarcat ca sensibilitatea si specificitatea testului Accu-Dx sunt mai mari decat ale testului BTA [101].
Limitele testului sunt date de rezultate fals-pozitive in caz de litiaza urinara, boli inflamatorii si hematuria importanta indiferent de cauza [103].
G. Telomeraza
Telomerii sunt secvente de ADN repetitiv situati la capetele cromozomilor. Dupa fiecare ciclu celular, telomerii se scurteaza pana se atinge o lungime critica ce forteaza celula sa nu se mai divida. Telomeraza este o revers-transcriptaza care poate reconstrui telomerii cromozomilor dupa diviziunea celulara, reparand modificarea ce apare la celulele somatice adulte normale, in timpul ciclurilor mitotice succesive [104].
Controlul mortii celulare normale este modificat atunci cand activitatea telomerazei este crescuta, celulele devenind "nemuritoare". Activitatea telomerazei este mult crescuta in tesuturile cancerului vezical comparativ cu uroteliul normal si poate fi masurata in tesutul vezical sau in urina cu ajutorul unui test ELISA - TRAP (Telomeric Repeat Amplification Protocol). Studii comparative ale diverselor teste au aratat ca testul activitatii telomerazei urinare are sensibilitate de 70% si specificitate de 99% [165].
In cazul tumorilor vezicale, in functie de grading, sensibilitatea testului a fost de 56% pentru G1 si 85% pentru G2, semnificativ mai mare decat citologia urinara exfoliativa, unde sensibilitatea a fost de 22% pentru G1 si 38% pentru G2. Hematuria masiva a fost criteriu de excludere pentru toate aceste teste [101].
Masurarea activitatii telomerazei urinare a demonstrat o sensibilitate mai buna, dar o specificitate mai mica decat citologia urinara. In plus, tehnica este laborioasa si se lucreaza numai din urina emisa proaspat, astfel incat folosirea ei de rutina este destul de limitata [165].
H. Markeri ai citoscheletului
Alterari in morfologia si mobilitatea celulara constituie markeri de cancer celular si se insotesc de alterari ale proteinelor citoscheletului care sunt responsabile de forma si de structura celulei. In cancerul vezical au fost investigate actina si citokeratinele [104].
a). Actina
Actinele sunt proteine contractile care sunt legate de proteinele de la suprafata celulelor (de exemplu: integrinele). Actina-G si actina-F sunt cele doua forme ale actinei [38].
In celulele normale uroteliale, cantitatea de actina-F este mai mare decat fractiunea G, acest raport fiind inversat in celulele canceroase. Nivelul scazut de expresie al actinei-G a fost propus ca un marker folositor in studiile ce monitorizeaza chemopreventia cancerului vezical [101].
Gelsolina este o proteina care regleaza actina si a carei expresie este scazuta sau chiar absenta in cancerul vezical. Nu sunt cunoscute date privind importanta diagnostica sau prognostica a actinei pana in prezent [101].
b). Citokeratinele
Citokeratinele (CKs) sunt filamente intermediare ale citoscheletului. Ele mentin forma si integritatea celulara. Aproximativ 20 de izotipuri diferite de citokeratine au fost descoperite in celulele umane [70].
Celulele epiteliale exprima intre 2 si 10 izotipuri diferite. In uroteliu, citokeratina-4 (CK-4) este tipic situata in celulele bazale sau imature, in timp ce CK7, CK8, CK13, CK18 si CK19 sunt exprimate in tot uroteliul [70].
Expresia imunohistochimica a CK8, CK18 si CK19 pare sa persiste in cancerul vezical. Pierderea CK13 este un marker al stadiului si grading-ului tumorii, in timp ce CK14 indica diferentiere scuamoasa si ca atare, prognostic sever [70].
Expresia CK20 a fost descrisa ca un factor predictiv in recidiva tumorala. La celulele uroteliale normale, expresia CK20 este limitata la stratul celular superficial "in umbrela", pe cand in cancerul vezical, se observa expresia CK20 in tot uroteliul [101].
In timpul lizei celulelor carcinomatoase tranzitionale, CK18 si CK19 solubile sunt eliberate in sange si urina unde pot fi masurate prin diferite teste.
Studiile imunohistochimice au demonstrat o corelatie foarte puternica a anticorpilor cu CK20, in toate specimenele de carcinom urotelial tranzitional.
Astfel, Resnick si colaboratorii, studiind expresia CK20 in urina pacientilor cu cancer vezical prin metoda revers-transcriptaza - reactie de polimerizare in lant (RT-PCR) au gasit o sensibilitate de 86,9%, specificitate de 96,7%, rezultate fals-negative de 13% si respectiv fals-pozitive de 3,3%, cu o valoare predictiva de 98,4% [196].
Desi si alte studii au aratat valori foarte bune ale sensibilitatii si specificitatii, metoda de detectare a celulelor CK20 pozitive prin RT-PCR nu poate fi folosita ca metoda de screening, limitele ei fiind impuse de tehnica laborioasa ce necesita timp si personal inalt calificat [232].
I. TPA (Tissue Polipeptyde Antigen)
Este un marker de proliferare si diferentiere serologic, care masoara CK8, CK18 si CK19. In mai multe studii s-a observat ca sensibilitatea TPA a fost foarte variabila, in timp ce specificitatea lui a ramas constant mare. Evaluarea lui este in desfasurare [101].
J. CYFRA 21-1
Este un test imunoradiometric ce detecteaza fragmentele solubile de CK19 in urina. Studii recente au observat valori crescute ale CYFRA 21-1 (peste 3,5 ng/ml) la pacientii cu tumori vezicale, valori care au scazut semnificativ la doua saptamani dupa rezectia tumorii [49]. Valorile CYFRA 21-1 s-au aratat direct proportionale cu volumul si/sau stadiul tumorii. In studii comparative, CYFRA 21-1 combinat cu NMP22 au dovedit acuratete diagnostica mult mai buna decat TPA sau BTA luate separat [141]. Cu toate acestea metoda nu este buna pentru diagnostic precoce sau ca screening populational deoarece, pe de-o parte are sensibilitate foarte mica in tumorile superficiale G1, iar pe de alta parte este limitata de rezultate fals-pozitive in boli renale cronice, boli hepatice, tumori de cap si gat, valori ale creatininei peste 1,2 mg% [142].
K. Detectia cu microsateliti
Microsatelitii sunt secvente simple de ADN, care sunt foarte polimorfe si ubicuitare in genoamele eukariote. Ei sunt unelte pentru harta genetica si pentru compararea populatiilor umane fata de alte mamifere. Alterari ale microsatelitilor se asociaza cu dezvoltarea cancerului. Markerii microsatelitilor ADN au fost folositi pe scara larga pentru detectarea mutatiilor si a instabilitatii genomice in tumorile primare [143]. Cea mai comuna alterare genetica in carcinoamele vezicale tranzitionale este pierderea heterozigotiei pe cromozomul 9. Diferitele studii au aratat insa o diferenta foarte mare a specificitatii testului intre tumorile infiltrative G2 sau G3 (de 100%) si tumorile superficiale G1 (de maximum 10%) [143].
L. Alte metode
a). Uroplakinele
Celulele uroteliale mature, "in umbrela", de la suprafata uroteliului, diferentiate si specializate, au o portiune asimetrica de membrana care se presupune ca are functie in timpul mecanismului de contractie / relaxare al vezicii urinare. O serie de proteine, numite uroplakine, sunt componente ale acestei membrane si pot servi ca markeri ai diferentierii uroteliale.
O expresie mare a uroplakinelor s-a descris in tumorile vezicale, in unele cazuri acest lucru fiind observat in toata tumora [16, 268].
b). CD 44
CD 44 este o glicoproteina transmembranara ale carei izoforme apar in urma "ruperii" alternative a ADN-ului. S-a observat ca CD 44 este implicat in diferite functii celulare: recunoasterea imuna, interactiunile celula - celula sau celula - matrice extracelulara.
Unele din izoformele proteinei CD 44 au fost gasite in mai multe tumori umane si se considera ca sunt asociate cu progresia tumorala si metastazarea. Prin metoda RT-PCR, cu ajutorul izoformei CD 44 v-8-10 s-au detectat celule tumorale vezicale in probele urinare. Desi metoda are rezultate promitatoare si ea este dificil de aplicat ca metoda de rutina [101].
c). Acidul hialuronic
Este cunoscut faptul ca acidul hialuronic initiaza aderarea celulara si migrarea. De asemenea, fragmente mici de acid hialuronic stimuleaza angiogeneza. Aceste fragmente rezulta din degradarea ciclului hialuronic de catre hialuronidaza.
Nivelul de acid hialuronic este crescut in urina pacientilor cu cancer vezical. Masuratori ale acidului hialuronic in urina pacientilor cu cancer vezical, folosind un test bazat pe metoda ELISA, au aratat sensibilitate si specificitate crescute, dar numai in cazul tumorilor G2 si G3. La pacientii cu tumori G1, activitatea acidului hialuronic nu a fost diferita fata de cea a pacientilor fara cancer [83].
d). Testul FISH
Hibridizarea prin fluorescenta in situ (testul FISH) utilizeaza ADN fluorescent in ideea de a analiza compozitia genetica a celulelor, luate individual.
Testul FISH poate aduce informatii importante despre cariotipul celulelor in timpul carcinogenezei. Tehnica presupune utilizarea de ADN fluorescent impotriva centromerilor sau cromozomilor specifici, pentru a demonstra duplicarea cromozomiala [103, 268].
e). Flow-citometria
Studierea celulelor in sange se poate realiza cel mai bine prin imunofenotipare prin flow-citometrie. Aceasta tehnica consta in analizarea, celula cu celula, a unui flux continuu de celule, traversat de o raza LASER. Razele dispersate de acest flux de celule sunt transformate in semnal digital si analizate prin computer .
Astfel, se pot obtine date asupra caracteristicilor fizice ale celulelor (dimensiuni, granularitate), ceea ce permite o prima diferentiere a acestora. Prin marcarea celulelor cu anticorpi monoclonali conjugati cu fluorocrom, se obtine atasarea acestora de receptorul specific, iar raza LASER masoara emisia fluorocromului ce este receptata de fotoreceptorul specific, semnaland prezenta receptorului pe suprafata celulei.
Prin marcarea probei de sange periferic cu anticorpi monoclonali conjugati cu fluorocrom pentru diferite antigene de suprafata, se pot identifica receptorii de suprafata specifici celulelor normale sau celulelor maligne.
Studiul celulelor sedimentului urinar preparate cu coloranti pentru ADN, conduce diagnosticul la populatii celulare negative, suspecte sau posibil maligne, depinzand de prezenta aneuploidiei sau gradului de hiperdiploidie. Sunt necesare cel putin 1000 de celule masurabile pentru a discrimina populatia redusa de celule aneuploide de rezultate fals-pozitive ale flow-citometriei in specimenele irigate.
Flow-citometria spalaturii vezicale ce contine mai putin de 1000 de celule este definita ca hipocelulara. Specimenul hipocelular nu exclude cancerul vezical si se poate considera ca ridica suspiciunea unei tumori vezicale in stadiu incipient.
Principiul metodei se bazeaza pe raportul aneuploidie / diploidie a ADN-ului. Examenul se efectueaza prin citirea histogramelor la microscopul electronic. Din punct de vedere al acuratetii diagnosticului, flow-citometria este superioara citologiei urinare (97% fata de 87%), dar necesita aparatura foarte scumpa, personal inalt calificat si fiind o metoda foarte laborioasa, timp indelungat pana la obtinerea rezultatelor. De asemenea, metoda nu poate fi folosita ca metoda de screening populational.
f). Analiza citometrica imagistica
Citometria imagistica este metoda cu sensibilitate mai mare decat flow-citometria in analiza ploidiei, mai ales in cazul tumorilor cu numar mic de celule aneuploide.
Studii comparative au aratat sensibilitate a citometriei imagistice de 84% fata de 57% in cazul citologiei urinare exfoliative si 85% in cazul biopsiei tumorale. Combinatia citologie urinara si citometrie imagistica ridica sensibilitatea detectiei la 89% si specificitatea la 94% cu o acuratete diagnostica totala de 90%.
Cu toate acestea, s-a dovedit ca nici unul din parametrii citometrici nu aduce o contributie importanta in predictia progresie / tumor free [103].
g). Concluzii
Citologia urinara exfoliativa este inca cel mai frecvent utilizat test non-invaziv pentru diagnosticarea cancerului vezical.
Totusi, datorita sensibilitatii scazute si rezultatelor dependente de cel care le interpreteaza, s-au cautat teste alternative, non-invazive, utilizand urina emisa spontan, atat pentru identificare cat si pentru supravegherea cancerelor vezicale.
Din acest punct de vedere, situatia ideala ar fi urmatoarea [dupa 103]:
rezultatele sa fie imediat disponibile, sa aibe sensibilitate mare si specificitate aproape de 100%.
testul sa furnizeze informatii asupra stadiului tumorii, complementare datelor obtinute prin examenul histopatologic si evaluarilor imagistice.
markerul tumoral sa fie obiectiv si independent de cel care-l interpreteaza.
In prezent asemenea markeri nu exista si nici un test nu are acuratete atat de mare incat sa inlocuiasca cistoscopia. Majoritatea acestor teste se folosesc doar ca adjuvant al cistoscopiei [180].
Pe un lot de 37 de pacienti [60] care au fost diagnosticati si operati transuretral in Centrul de Chirurgie Urologica, Dializa si Transplant Renal din cadrul Institutului Clinic "Fundeni" (intre anii 2000-2005) cu tumori ale vezicii urinare, s-au relavat urmatoarele: 13 pacienti au fost pTa, 24 de pacienti au fost pT1 la diagnosticul initial. La 2 pacienti nu s-a efectuat cistoscopie, astfel ca nu sunt inclusi in studiu. Pacientii au fost urmariti conform protocolului EAU. In ultimele 8 luni au fost inclusi in programul de mai jos, constand din :
recoltarea de markeri (Bladder Tumor Antigen - BTA, Urinary Bladder Cancer Antigen - UBC, Tissue Polypeptide Specific Antigen - TPS)
recoltarea de urina pentru citologie spontana si exfoliativa
efectuarea cistoscopiei.
Rezultate au fost urmatoarele:
Testul BTA trak: senzitivitate-50%, specificitatede 88,8%, valoare predictiva de 57,8%.
Testul UBC a fost efectuat pe 29 dintre pacienti: senzitivitate-28,5%, specificitatede 86,3%, valoare predictiva de 40%.
Testul TPS a fost efectuat la 27 de pacienti: senzitivitate-33,3%, specificitatede 66,6%, valoare predictiva de 22,2%.
Citologia urinara a fost efectuata la 33 de pacienti: senzitivitate-12,5%, specificitate-92%, valoare predictiva de 33%.
Cistoscopic au fost decelate 8 cazuri de recidiva tumorala vezicala.

Figura 2
4. Investigatii imagistice
Desi tumorile vezicale pot fi decelate prin diverse metode investigationale imagistice, diagnosticul lor este stabilit prin examen uretrocistoscopic si bioptic. Studiile imagistice au drept rol esential evaluarea starii morfologice si functionale a aparatului urinar superior, iar pentru tumorile infiltrative, profunzimea penetratiei parietale a acestora precum si prezenta adenopatiilor regionale sau a metastazelor la distanta.
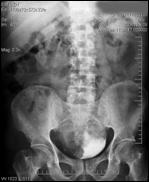
4.1. Radiografia renovezicala simpla si UIV raman examenele de baza pentru diagnosticul etiologic al oricarui pacient cu hematurie. Tumorile vezicale au drept semn radiologic cardinal imaginea lacunara pe cistograma urografica. Tumorile infiltrative pot induce modificari ale supletii peretelui vezical, care devine rigid, inextensibil, retractat etc. in zonele patologice. Ureterohidronefroza sau rinichiul mut sunt rezultatele invaziei si obstructiei ureterelor intramurale induse de tumorile solide, infiltrative (Fig.27,28,29).


Figura 28. Imagine
lacunara de 2,8/2 cm, in aria vezicii urinare, sugerand tumora
vezicala.


a. b.
Figura 31. a,b. Tumora
vezicala situata in trigon. Figura 32. Tumora vezicala infiltrativa
situata in hemivezica stanga
(cheag voluminos in hemivezica dreapta.



a. b. c. d.
Figura 33. a) Imagine lacunara voluminoasa, ocupand
hemivezica dreapta; rinichi drept mut UIV; b) Imagine lacunara in hemivezica
dreapta; c) Rigiditate la
nivelul hemivezicii drepte; d) Cistouretrografie intramictionala
demonstrand imagine lacunara in hemivezica stanga.
4.2. Ecografia vezicala
Detectarea tumorilor vezicale superficiale, cu grad jos de displazie potential curative, prin tehnici non-invazive ramane o problema nerezolvata [103].
Ecografia vezicii urinare poate aduce date generale importante in diagnosticul tumorilor vezicale superficiale. Este o investigatie strict morfologica ce prezinta mai multe avantaje, fiind nedureroasa, non-invaziva, nu determina efecte secundare, nu are nici un fel de contraindicatie si este repetabila la nesfarsit.
Desi este total inofensiva, ecografia in tumorile vezicii urinare are limitele ei, impuse de mai multi factori:
factorul uman - subiectivitatea celui care efectueaza examenul
factorul tehnologic
- calitatea rezolutiei imaginii
- tipul de transductor utilizat (liniar, semicircular, cu angulatie retrograda).
factori locali - prezenta de gaze in intestin
- repletia insuficienta a vezicii urinare
- tumori plane, mici, cu aspect lichenoid, neexofitic.
Ecografia vezicii urinare se poate executa pe cale abdominala, transrectala sau transuretrala. Tumorile vezicale apar la ecografie ca mase exofitice, ecodense, intracavitare, fixate la perete, care nu-si schimba pozitia odata cu schimbarea pozitiei pacientului, cu perete vezical normal adiacent tumorii.

a. b.
Figura 34. a,b. Aspecte ecografice de tumora vezicala - transductor abdominal.

Figura 35. Aspect ecografic de tumora vezicala-transductor transuretral [dupa 132].


a. b.
Figura 3 a,b) Aspecte ecografice de tumori vezicale. Formatiuni exofitice protruzive intravezicale.
Unele studii acorda ecografiei posibilitatea de a diagnostica o tumora vezicala in proportie de 80% [85]. Cu toate acestea, ea nu poate pune diagnostic de certitudine, ci completeaza celelalte investigatii.
Daca in cazul tumorilor exofitice, diagnosticul de tumora prezenta in vezica nu este greu de pus, stadierea tumorii este practic imposibila ecografic, desi au fost incercari in acest sens.
Chiar folosind transductor transuretral, stadierea nu este de finete; se pot confunda usor tumorile T1 cu T2 si T2 cu T3 [251].
4.3. Tomografia computerizata si rezonanta magnetica nucleara

Informatiile furnizate de aceste metode moderne imagistice ridica procentajul acuratetei diagnostice pana la 85% in aprecierea infiltratiei parietovezicale a tumorilor (T) si la circa 90% pentru decelarea adenopatiei pelviene.
Figura 37. Aspect
tomografic de tumora vezicala. Formatiune tumorala
exofitica protruziva intravezical situata pe peretele
postero-lateral stang. Figura 38. CT pelvin - Tumora voluminoasa in hemivezica
dreapta Figura 39. CT abdominal - Adenopatie extraregionala
periaortico-cava




a. b. Figura 40. Aspect CT - Metastaza
hepatica dintr-o tumora vezicala.

Figura 41. a,b) Aspect CT - Metastaza
vertebrala si costala dreapta

Figura 42. Metastaza in articulatia coxo-femurala dreapta.
4.4. Rezonanta magnetica nucleara ofera cateva avantaje comparativ cu tomografia computerizata: tesutul tumoral este diferentiat mai bine de peretele vezical normal; examinarea se poate efectua in mai multe planuri; ganglionii limfatici se individualizeaza mai bine, putand fi deosebiti de vasele sanguine, si nu este necesara administrarea i.v. de substanta de contrast. In acelasi timp insa, miscarile pacientului pot induce artefacte neinterpretabile pe film, iar pacientii cu stimulatoare cardiace, clipuri vasculare metalice sau alte proteze metalice reprezinta contraindicatii pentru examenul prin RMN.
Cu toate progresele investigationale imagistice moderne, nici o tehnica de examen nu poate diferentia cu certitudine tumorile Ta de T1 sau T2 de T3a. Cel mai mare beneficiu diagnostic al tomografiei computerizate si al rezonantei magnetice nucleare consta in diferentierea corecta a tumorilor infiltrative, dar inca intra-organ (pana la T3a) de cele cu extensie extravezicale (T3b - T4a sau b). In privinta adenopatiei regionale, prin ambele metode se apreciaza ca ganglionii cu diametre mai mari de 1 cm sunt practic totdeauna invadati tumoral, in timp ce adenopatiile cu diametre mai mici considerate reactive, desi in cadrul acestora unele sunt totusi determinari neoplazice.


a. b.


c. d.
Figura 43. a,b,c,d) Imagini RMN de tumora vezicala.
Cele mai multe metasteze la distanta, provocate de tumorile vezicale maligne, sunt localizate in plamani si in oase. Diagnosticul acestora se face prin: radiografii toraco-pulmonare, radiografii osoase sau scintigrame osoase (evidentiaza metastazele osoase cu 9-12 luni mai devreme decat expresia evidenta a acestora pe radiografiile standard).
4.5. Radiografia osoasa 4. Radiografia toraco-pulmonara


Figura 44. Metastaza in articulatia coxo-femurala
dreapta Figura 45. Metastaze pulmonare multiple dintr-un carcinom vezical
infiltrativ.


a. b.
Figura 4 Radiografie toraco-pulmonara cu metastaze pulmonare multiple
dintr-un carcinom vezical infiltrativ

Figura 47. Radiografie toraco-pulmonara cu metastaze pulmonare multiple dintr-un carcinom vezical infiltrativ.
4. Scintigrama osoasa
Cele mai multe metasteze la distanta, provocate de tumorile vezicale maligne, sunt localizate in plamani si in oase. Diagnosticul acestora se face prin: radiografii toraco-pulmonare, radiografii osoase sau scintigrame osoase (care evidentiaza metastazele osoase cu 9 - 12 luni mai devreme decat expresia evidenta a acestora pe radiografiile standard).


a. b.
Figura 48. a,b) Scintigrafii osoase la un bolanavi cu tumori vezicale si metastaze osoase multiple.
|
Politica de confidentialitate | Termeni si conditii de utilizare |
Vizualizari: 9020
Importanta: ![]()
Termeni si conditii de utilizare | Contact
© SCRIGROUP 2025 . All rights reserved