| CATEGORII DOCUMENTE |
| Bulgara | Ceha slovaca | Croata | Engleza | Estona | Finlandeza | Franceza |
| Germana | Italiana | Letona | Lituaniana | Maghiara | Olandeza | Poloneza |
| Sarba | Slovena | Spaniola | Suedeza | Turca | Ucraineana |
Accidents Vasculaires Crbraux
1. Connaissances requises
1.1 Objectifs didentification clinique et paraclinique
Citer les arguments cliniques gnraux du diagnostic dAVC
Citer les deux types dAVC (ischmique vs hmorragique), leur frquence relative et les donnes du scanner crbral permettant de les distinguer
Dcrire les principaux lments cliniques dun infarctus des artères crbrales moyenne, antrieure, postrieure, dun syndrome alterne. Dcrire la smiologie clinique du syndrome de Wallenberg
Dfinir laccident ischmique transitoire et citer les principaux diagnostics diffrentiels
1.2 Objectifs de prise en charge diagnostique et thrapeutique
Expliquer le principe de la pnombre ischmique et ses implications pour la prise en charge en urgence de linfarctus crbral
Enoncer les principes de prise en charge des infarctus crbraux à la phase aigu
Connaitre lurgence de la prise en charge dun accident ischmique transitoire
Connaitre les principales causes dhmorragie crbrale et les examens complmentaires utiles à leur identification
Citer les principales causes dinfarctus crbral et leur frquence relative
Enumrer, en les hirarchisant, les examens complmentaires utiles au diagnostic tiologique dun infarctus crbral
Enumrer les arguments du diagnostic de dissection dune artère à destine crbrale
Enumrer les arguments du diagnostic de thrombophlbite crbrale
1.3 Objectifs de prvention
Citer les facteurs de risque des deux types dAVC et leur importance relative
Connaitre les risques vasculaires ultrieurs après un AVC (rcidive, risque cardiaque)
Enumrer les mesures de prvention secondaire après un AVC
Enoncer les indications et risques des mdicaments anti-thrombotiques et de la chirurgie carotidienne en prvention primaire et secondaire des infarctus crbraux
2. Objectifs pratiques :
Chez des patients rels ou simuls prsentant un infarctus crbral ou une hmorragie crbrale
conduire linterrogatoire et lexamen clinique
hirarchiser les examens complmentaires utiles au diagnostic
proposer une stratgie dexamens complmentaires à la phase aigu et des mesures de prvention secondaire
2.2 Chez un patient rel ou simul ayant fait un AIT
conduire linterrogatoire
discuter les arguments en faveur du diagnostic
proposer un plan dinvestigations et de prise en charge en en indiquant lurgence
2.3 Sur des cas vidoscops typiques, voquer le diagnostic dAIT
LES POINTS FORTS
Les AVC reprsentent la 3ème cause de mortalit et la 1ère de handicap acquis dans les pays industrialiss. 150.000 nouveaux cas surviennent chaque anne en France. 80% dentre eux sont des accidents ischmiques crbraux (AIC). Leur symptomatologie varie selon le territoire artriel concern. La mortalit est de 20% à 1 mois, le risque de rcidive de 30% à 5 ans
Les AVC sont une urgence mdicale, où les prises en charge diagnostique et thrapeutique doivent être menes conjointement. La zone de pnombre, où la baisse du dbit sanguin crbral entraine une perturbation du fonctionnement cellulaire rversible, est la cible des traitements durgence.
LAIT est une urgence diagnostique compte-tenu du risque lev dinfarctus crbral dans les semaines suivantes
LHTA est de loin le principal facteur de risque des AVC
Limagerie crbrale doit être ralise immdiatement devant toute suspicion dAVC. Elle seule permet de distinguer une ischmie dune hmorragie. Le scanner crbral sans injection est encore lexamen ralis le plus souvent mais lIRM apporte une aide considrable à la prise en charge en aigu
En cas dAIC, le bilan tiologique
comporte au moins : examens biologiques de base, ECG, cho-doppler
cervical et chocardiographie trans-thoracique. Les autres investigations sont
ralises en fonction du contexte. LARM permet ltude non invasive prcise
des artères cervicales et crbrales
Le traitement à la phase aigu de lAIC repose sur la mise en place efficace de mesures gnrales (avec respect de llvation tensionnelle), laspirine, une anticoagulation prventive en cas de dficit du membre infrieur, et la prvention de complications prcoces. La thrombolyse IV est bnfique si elle est applique dans les 3 premières heures
Le bnfice de structures spcialises pour laccueil durgence des AVC ( stroke units ) est dmontr, mais leur nombre en France est largement infrieur aux besoins
Lathrosclrose, les cardiopathies emboligènes et les petits infarctus profonds par lipohyalinose sont les principales causes dAIC. De nombreuses causes plus rares sont possibles. Chez le sujet jeune, la dissection artrielle est une cause frquente. Environ 30% de lensemble des AIC demeurent sans cause identifie. Lathrosclrose ncessite une prise en charge globale (risque cardiaque)
Après un AIC, le traitement de prvention secondaire repose dans tous les cas sur la prise en charge des facteurs de risque et les antithrombotiques (AVK en labsence de contre-indication si cardiopathie emboligène, antiplaquettaires dans la plupart des autres cas). Une intervention chirurgicale est propose en cas de stnose carotide serre en amont de laccident et de bonne rcupration clinique
LHTA est la principale cause dhmorragie intraparenchymateuse, de siège profond
Les thromboses veineuses crbrales sont des affections rares. La symptomatologie associe des signes dhypertension intracranienne, des crises pileptiques et des dficits neurologiques focaux. Le diagnostic repose sur lIRM crbrale
Laccident vasculaire crbral (AVC) est laffection neurologique la plus frquente et une grande urgence mdicale. Des progrès considrables ont t obtenus, au cours des dernières annes, dans la comprhension de ses mcanismes, lidentification de ses causes, la qualit de la prise en charge des patients. Lhospitalisation rapide dans une structure adapte constitue un facteur essentiel du pronostic ultrieur.
1 - Introduction : quelques chiffres
Chaque anne, environ 150.000 nouveaux AVC surviennent en France (incidence), dont environ ¼ touche des patients ayant un antcdent dAVC.
LAVC est la 3ème cause de mortalit dans les pays industrialiss (après linfarctus du myocarde et les cancers).
Il sagit dabord dune affection du sujet ag : 75% des patients ont plus de 65 ans.
Les AVC se rpartissent en 2 types : 80% sont ischmiques (accidents ischmiques crbraux ou AIC), 20% hmorragiques (hmorragie intraparenchymateuse ou HIP dans ¾ des cas, hmorragie mninge dans ¼ des cas, dont la symptomatologie et la prise en charge sont totalement diffrentes : QS).
2- Arguments cliniques gnraux en faveur dun AVC
Chronologie de lhistoire clinique : 1) brutalit de linstallation dun dficit neurologique focal, sans prodrome, demble maximal. Plus rarement, le dficit peut connaitre une aggravation rapide sur quelques minutes, ou des paliers daggravation successive (stnose artrielle procclusive, HIP) ; 2) amlioration progressive.
Trouble neurologique correspondant à un territoire artriel (cf infra), en faveur dun AIC.
Arguments de contexte tels quune affection cardiaque emboligène connue (valvulopathie, trouble du rythme), des manifestations antrieures de maladie athrosclreuse (coronaropathie, artriopathie des membres infrieurs).
Une bonne connaissance de l'anatomie crbro-vasculaire est ncessaire (annexe 1) et des territoires artriels (annexe 2) est ncessaire.
3.1- Infarctus crbraux : on peut distinguer les AIC carotidiens, les AIC vertbro-basilaires et les petits infarctus profonds.
ðAIC carotidiens
Ceux qui concernent lartère crbrale moyenne (sylvienne) sont de loin les plus frquents, suivis de ceux concernant lartère crbrale antrieure.
AIC sylviens
On les diffrencie en AIC superficiel, profond ou total.
- AIC sylvien superficiel
Symptomatologie controlatrale :
Hmiplgie à prdominance brachio-faciale
Troubles sensitifs dans le territoire paralys
Hmianospsie latrale homonyme (HLH)
Si hmisphère majeur touch : (G chez le droitier et la plupart des gauchers)
Aphasie
Motrice et non fluente (Broca) si infarctus antrieur (atteinte du pied de la 3ème circonvolution frontale à zone de Broca)
Sensorielle et fluente (Wernicke, aphasies de conduction) si infarctus postrieur (atteinte temporale post à zone de Wernicke)
Apraxie : idomotrice et idatoire (atteinte paritale)
Syndrome de Gerstmann associant acalculie, agraphie, agnosie des doigts et indistinction gauche/droite (atteinte thalamo-paritale)
Si hmisphère mineur touch :
Syndrome d'Anton-Babinski associant :
Anosognosie (non reconnaissance du trouble)
Hmiasomatognosie (non reconnaissance de lhmicorps paralys)
Ngligence spatiale unilatrale : motrice de l'hmicorps et visuelle de l'hmichamp controlatraux, gnant la rducation
- AIC sylvien profond
Hmiplgie massive proportionnelle (atteinte capsule interne)
Avec troubles sensitifs inconstants
- AIC sylvien total :
Hmiplgie + Hmianesthsie massives + HLH
Aphasie globale si hmisphère majeur
Prsence frquente de troubles de conscience initiaux, avec dviation conjugue de la tête et des yeux vers la lsion (atteinte de l'aire oculo-cphalogyre frontale)
AIC crbral antrieur
Peut être associ à un AIC sylvien dans le cadre d'une thrombose de la carotide.
Hmiplgie avec troubles sensitifs, à prdominance crurale (atteinte du lobule paracentral)
Apraxie idomotrice de la main
Syndrome frontal (adynamie)
Si bilatral et complet : mutisme akintique, rare
ðAIC vertbro-basilaires
AIC crbral postrieur
- Territoire superficiel : HLH souvent isole, parfois associe à
alexie, agnosie visuelle (hmisphère majeur)
troubles de la reprsentation spatiale et prosopagnosie (physionomies) (hmisphère mineur)
- Territoire profond : syndrome thalamique : troubles sensitifs à tous les modes de l'hmicorps controlatral, avec parfois apparition diffre de douleurs intenses (jusquà lhyperpathie), rarement mouvements anormaux de la main
En cas dinfarctus bilatral, possibilit de ccit corticale et de troubles mnsiques (syndrome de Korsakoff par atteinte bilatrale de la face interne des lobes temporaux)
AIC du tronc crbral
- Ils sont dus à latteinte des artères perforantes partant du tronc basilaire (infarctus paramdians ou latraux) ou des branches dartères crbelleuses (Wallenberg).
- Ils peuvent être responsables de syndromes alternes (atteinte dune paire cranienne du ct de la lsion et de la voie longue sensitive ou motrice- controlatrale). Par exemple : atteinte du VII et hmiplgie controlatrale pargnant la face par infarctus protubrantiel.
- Ils peuvent être tags et sassocier à des infarctus hmisphriques daval (artère crbrale postrieure).
- Syndrome de Wallenberg
Sa frquence et les risques de troubles de la dglutition imposent sa bonne connaissance. Il est la consquence dun infarctus de la partie latrale du bulbe (rtro-olivaire) irrigue par lartère dite de la fossette latrale du bulbe, elle-même branche de lartère crbelleuse postro-infrieure.
Symptomatologie initiale : sensation vertigineuse avec troubles de lquilibre et cphales postrieures. A lexamen :
Du ct de la lsion :
Atteinte des nerfs mixtes (IX et X) : troubles de phonation et de dglutition (qui imposent un arrêt de lalimentation orale), paralysie de lhmivoile et de lhmipharynx (signe du rideau)
Hmisyndrome crbelleux (atteinte du pdoncule crbelleux infrieur)
Atteinte vestibulaire avec nystagmus rotatoire (atteinte du noyau du VIII)
Atteinte du V : anesthsie de lhmiface (racine descendante du trijumeau)
Syndrome de Claude-Bernard-Horner (atteinte de la voie sympathique)
Du ct oppos :
: Atteinte du faisceau spinothalamique anesthsie thermo-algique de lhmicorps pargnant la face (ralisant avec latteinte du V un syndrome alterne sensitif)
Ce syndrome peut être associ à un infarctus crbelleux infrieur, parfois largement tendu.
- Infarctus graves du tronc crbral
Ils sont la consquence, notamment, dune occlusion du tronc basilaire avec possibilit de :
Coma pouvant mener au dcès
Atteinte motrice bilatrale (parfois des 4 membres) pouvant provoquer un locked-in syndrome : infarctus bilatral du pied de la protubrance responsable dune quadriplgie avec diplgie faciale (seul mouvement possible = la verticalit des yeux) et conscience normale.
AIC crbelleux
Parfois asymptomatiques, ils provoquent le plus souvent un hmisyndrome crbelleux, homolatral à la lsion. En cas dinfarctus crbelleux de grande taille, il peut exister un risque vital li à la compression du tronc crbral
Ce terme est prfrable à celui, trop imprcis, de lacune . Consquence de locclusion dune artriole perforante (diamètre 200 à 400 microns), ces AIC sont dus le plus souvent à une artriopathie locale, la lipohyalinose, dont le facteur de risque principal est lHTA. Toutes les causes dAIC peuvent nanmoins être responsables dun petit infarctus profond, ce qui implique de ne retenir un diagnostic de petit infarctus profond par lipohyalinose ( infarctus lacunaire ) quaprès limination des autres causes principales dAIC.
Ces petits infarctus donnent lieu à des tableaux cliniques vocateurs, parmi lesquels 4 sont frquents :
Hmiplgie motrice pure (localisation capsulaire interne)
Hmianesthsie pure, touchant un hmicorps ou à prdominance chiro-orale (localisation thalamique)
Dysarthrie + main malhabile (pied de la protubrance)
Hmiparsie + ataxie (protubrance ou couronne rayonnante cest-à-dire substance blanche hmisphrique)
La multiplication des lacunes peut conduire à un tat lacunaire responsable dun syndrome pseudobulbaire associant :
Consquences dune atteinte pyramidale bilatrale : troubles de phonation et de dglutition, rires et pleurs spasmodiques
Marche à petits pas
Troubles sphinctriens
Dtrioration des fonctions cognitives
La symptomatologie dpend de la localisation de lHIP :
Hmatomes hmisphriques profonds (noyaux gris)
Hmatomes cortico-sous-corticaux ou lobaires
Hmatomes sous-tentoriels (protubrance, cervelet)
Les cphales sont classiquement plus svères quen cas dAIC et les troubles de la conscience plus prcoces.
En ralit, la symptomatologie clinique ne permet jamais de distinguer une HIP dun AIC : limagerie crbrale est indispensable dans tous les cas.
4-Accidents ischmiques transitoires
4.1 Dfinition et signification : Laccident ischmique transitoire (AIT) est un dficit neurologique focal dorigine ischmique d'installation brutale et entièrement rgressif en moins de 24 heures (le plus souvent en moins de 30 minutes). Sa dure doit dpasser quelques dizaines de secondes. Son diagnostic est difficile, du fait même de la brièvet du phnomène et dpend de la qualit de linterrogatoire.
4.2 Relations AIT/AIC : elles sont très troites :
- les causes sont les mêmes
- 30 % des AIC sont prcds d'AIT
25 % des patients ayant eu un AIT vont avoir un AIC constitu dans les 5 ans qui suivent, surtout au cours des premiers mois : lAIT est donc une vritable urgence, car il peut annoncer limminence dun AIC constitu ( syndrome de menace crbrale ).
Symptmes : les plus frquents sont
une ccit monoculaire transitoire (occlusion de lartère centrale de la rtine, branche de lophtalmique)
une hmiplgie et/ou hmianesthsie
une HLH
un trouble du langage
un trouble de lquilibre
un dficit bilatral des membres infrieurs (drobement des jambes)
Une perte de connaissance, une confusion, une amnsie aigu, une faiblesse gnralise transitoire ne correspondent pas à un AIT.
d- Diagnostic diffrentiels :
Ils sont dabord neurologiques : migraine ++ (importance de la marche migraineuse), plus rarement crise pileptique partielle (typiquement beaucoup plus brève), phnomène transitoire rvlateur dune tumeur crbrale (mningiome)
De nombreux diagnostics autres que neurologiques peuvent être voqus, selon la prsentation clinique : vertige paroxystique bnin ou maladie de Mnière, glaucome, hypoglycmie, lipothymie, hystrie, etc
5- Rappel physiopathologique : pnombre ischmique et implications thrapeutiques
Dans la quasi-totalit des cas, lAIC est de mcanisme thrombo-embolique, avec occlusion dun vaisseau et souffrance du territoire crbral daval. Beaucoup plus rarement, le mcanisme est hmodynamique (chute de la perfusion crbrale (PP) sans occlusion vasculaire), à loccasion dun effondrement de la pression artrielle rgionale (stnose très serre dune artère en amont) ou systmique (arrêt cardiaque). Dans ce cas, lIC touche volontiers une zone jonctionnelle entre 2 territoires (perfusion de dernier pr ).
Quel que soit son mcanisme, lischmie crbrale survient lorsque la PP chute au-dessous dun certain seuil. Les systèmes de protection vis à vis dune telle chute sont :
- vasculaire : dans une large zone de baisse de la PP, lautorgulation crbrale permet un maintien du dbit sanguin crbral par dilatation des artrioles crbrales, elle-même responsable dune augmentation de la pression artrielle systmique (mcanisme rgulatoire essentiel à prserver)
- puis mtabolique : lorsque la vasodilatation ne peut plus compenser la baisse de la PP, le dbit sanguin crbral diminue mais la consommation d'oxygène est maintenue grace à l'augmentation du taux d'extraction d'oxygène. Lorsque ce dernier mcanisme est dpass, le mtabolisme et la fonction cellulaires sont perturbs. La profondeur et la dure de ces perturbations conditionnent leurs consquences.
Autour dun noyau central où la ncrose tissulaire sinstalle très rapidement, il existe une zone de pnombre où les perturbations restent rversibles si le dbit sanguin crbral est rtabli rapidement (6 premières heures environ). Cette zone constitue la cible des traitements durgence de lischmie crbrale. Deux grandes voies thrapeutiques sont thoriquement possibles :
dsobstruction du vaisseau sanguin (thrombolyse)
viter la cascade de ractions biochimiques lies à lischmie crbrale et aboutissant à la mort neuronale par afflux calcique intracellulaire (neuroprotection)
LAVC est la principale urgence neurologique. Le pronostic immdiat (vital) et ultrieur (fonctionnel) dpendent en partie de la rapidit dune prise en charge approprie. Les lments cls de cette prise en charge sont : laccès à limagerie crbrale et larrive le plus vite possible du patient dans une structure spcialise, la ralisation en parallèle des prises en charge diagnostique et thrapeutique, intimement lies.
ðMise en place de mesures gnrales, essentielles :
maintien d'une fonction respiratoire efficace et d'une bonne oxygnation sanguine (lutte contre l'hypercapnie, facteur d'aggravation de l'oedème crbral). La lutte contre l'encombrement bronchique (aspiration) est donc importante, parfois complte par l'administration d'oxygène. L'indication d'une ventilation assiste dpend du pronostic (mauvais ++ si trouble de la conscience demble)
respect de llvation tensionnelle, transitoire et indispensable à la conservation d'un dbit sanguin crbral suffisant . Un traitement intempestif peut avoir des consquences dramatiques sur la zone de pnombre (interdiction de la glule dAdalate en sublingual). A la phase aigu, on ne traite (de manière progressive), que des chiffres daugmentation très levs (plus de 220 mmHg de PA systolique ou 120 mmHg de PA diastolique).
maintien dun bon quilibre lectrolytique et glycmique : lhyperglycmie et la fièvre peuvent aggraver les lsions ischmiques.
kinsithrapie motrice prcoce, pour amliorer la perception dun membre paralys, prvenir les attitudes vicieuses et les limitations articulaires.
nursing : prvention descarres, soins de bouche,
prvention de complications non neurologiques, cest-à-dire thromboemboliques (HBPM en sous cutan à dose isocoagulante) et lulcère gastrique
ðTraitement antithrombotique (les bnfices recherchs sont la prvention dune rcidive prcoce et la prvention dune complication thromboembolique gnrale)
Leffet bnfique de laspirine dbute avant la 48ème heure après un AIC, bien que modeste, est dmontr (1 dcès ou handicap vit pour 83 patients traits). Elle est largement prescrite, en labsence de contre-indication, à une dose comprise entre 100 et 300 mg par jour.
Lhparine à doses isocoagulantes est aussi largement utilise (sous forme dHBPM) pour prvenir le risque thromboembolique veineux en cas dalitement sur dficit dun membre infrieur.
Lhparine à doses hypocoagulantes est rarement prescrite, car le bnfice est largement contrebalanc par le risque hmorragique (crbral et systmique). On discute ce traitement au coup par coup, dans quelques situations particulières (sans dmonstration scientifique du bien-fond du traitement):
AIC dit en volution (progression sur quelques heures)
pluie dAIT à rptition
cardiopathie embolique certaine avec AIT/AIC très limit
ðTraitement des complications
Œdème crbral (aggravation des lsions ischmiques, risque dengagement) : macromolcules (Mannitol) parfois prescrite, mais jamais de corticoïdes (effet dltère et absence defficacit car œdème cytolytique) ; chirurgie (exceptionnelle), en cas dinfarctus crbelleux avec compression du IVème ventricule et risque dengagement
Traitement de toute fièvre, de crise pileptique prcoce (5% des AVC).
Surveillance dune transformation hmorragique de linfarctus, avec aggravation neurologique lorsquelle prend la forme dun vritable hmatome intra-infarctus (favoris par de fortes doses danticoagulants)
ðTraitements hyperaigus des AIC
La thrombolyse par le rt-PA en IV peut limiter les lsions ischmiques en levant locclusion artrielle, mais le risque hmorragique crbral est très lev et le bnfice de ce traitement nest dmontr que sil est appliqu dans les 3 premières heures, ce qui restreint considrablement son utilisation. Le retard de prise en charge rapide des patients atteints dAIC est du à une combinaison de nombreux facteurs : - absence de douleur (facteur faussement rassurant pour le patient)
- constatation dun dficit au rveil (heure de dbut ?)
- sensibilisation insuffisante des mdecins+responsables des transports durgence aux AIC
Des molcules limitant la cascade biochimique menant à la mort neuronale (neuroprotecteurs) sont en cours dvaluation
ðStructures
Le bnfice de structures spcialises dans laccueil durgence des AVC est largement dmontr pour la mortalit et la morbidit après un AVC, comme les USIC pour linfarctus du myocarde (1 dcès ou handicap vit pour 20 patients traits).
Ces structures ( stroke units ) regroupent mdecins et personnel paramdical spcialiss en pathologie neuro-vasculaire. Elles ont la possibilit dassurer au plus vite, en parallèle, les prises en charge diagnostique (accès immdiat au scanner, rapide à lIRM, doppler dans lunit, ) et thrapeutique.
Leur nombre en France est largement infrieur aux besoins.
Adresser au plus vite son patient dans une structure spcialise constitue actuellement, pour un mdecin traitant, laction immdiate la plus efficace.
ð Distinguer AIC et HIP : Limagerie crbrale est seule capable de distinguer les 2 types dAVC. Le scanner est de loin lexamen le plus souvent ralis, sans injection de produit de contraste.
diagnostic immdiat de lHIP : hyperdensit sanguine (restreinte au parenchyme crbral ou diffusant dans les mninges ou les ventricules).
scanner normal aux premières heures en cas dAIC, en dehors danomalies subtiles*. Au delà de la 6ème heure, hypodensit qui saccentue les premiers jours . Elle entraine, après plusieurs mois, une dilatation du ventricule en regard et à une atrophie localise du parenchyme.
LIRM, disponible dans certains centres dès les premières heures, est beaucoup plus sensible et permet dapprcier la rversibilit potentielle de certaines zones lsionnelles (pnombre)**
*effacement des sillons corticaux, attnuation du manteau cortical de linsula (perte de la distinction substance grise-substance blanche) et attnuation du noyau lenticulaire
**la squence de diffusion permet la visualisation de linfarctus de manière très prcoce
ðPremières orientations
Interrogatoire sur des circonstances particulières : palpitations, traumatisme cervical,
Smiologie : une seule fonction touche (infarctus lacunaire), CBH (dissection),
ECG : trouble du rythme, coronaropathie aigu
Contexte vasculaire : antcdents dont facteurs de risque vasculaire, mdicaments antrieurs, souffles artriels
ðExamens complmentaires utiles au diagnostic tiologique de lAIC
Dans tous les cas sont raliss
des examens biologiques de base (NFS- plaquettes, ionogramme, glycmie)
un ECG
un cho-doppler cervical
une chocardiographie transthoracique
Les autres examens dpendent du contexte et des possibilits locales :
doppler transcranien, ARM intracranienne et cervicale, parfois angioscanner hlicoïdal (artriopathies)
chocardiographie transoesophagienne (tude oreillette/auricule gauche, septum interauriculaire, crosse de laorte)
hmostase complète (recherche dune thrombophilie : dficits en protine S, C, antithrombine III)
langiographie crbrale a vu ses indications se rduire considrablement avec le dveloppement de lARM. Elle est encore utilise pour ltude des petites artères intracraniennes
La diversit des tiologies amène à demander au coup par coup des examens à la recherche de causes rares : ponction lombaire (angite crbrale), biopsies cutane ou musculaire (maladies du tissu lastique et de surcharge), facteurs antinuclaires, dosage de lhomocystine,
Elles sont multiples et de frquence varie. Dans 30% des cas environ, malgr un bilan approfondi, lAIC reste dorigine inexplique. Plusieurs causes peuvent aussi être prsentes chez un même patient.
Athrosclrose
30% des AIC environ
AIC thrombo-emboliques le plus souvent (fragmentation dun thrombus sur plaque et occlusion dune artère distale, parfois occlusion au contact de la plaque), rarement hmodynamiques (stnose serre)
Prdomine à lorigine des carotides internes, au siphon carotidien, à lorigine des artères vertbrales et sylviennes, au tronc basilaire.
Diagnostic par identification dune stnose > 50% de lartère damont chez un patient porteur de facteurs de risque
Cardiopathies emboligènes
20% des AIC environ
Fibrillation auriculaire (FA) dans la moiti des cas. La FA est à risque embolique dautant plus lev quun patient est ag, hypertendu, et quil existe, un antcdent daccident ischmique (AIC ou ischmie aigu dun membre), dinsuffisance cardiaque, et une dilatation de loreillette gauche ou un aspect de contraste spontan à lchocardiographie.
La liste des cardiopathies emboligènes est longue (Annexe 1). Il faut distinguer celles avec un risque lev (risque de complication embolique > 5% par an), des cardiopathies à risque modr ou mal dtermin.
7.3 Infarctus dits lacunaires
20% des AIC environ
Petit infarctus profond (< 15 mm de diamètre) par occlusion dune artriole profonde.
Localiss dans les noyaux gris centraux, la capsule interne, le pied de la protubrance
Suspects chez un patient hypertendu en cas de tableau clinique vocateur (cf supra)
Secondaires le plus souvent à une artriopathie locale, la lipohyalinose, dont le principal facteur de dveloppement est lhypertension artrielle.
Un petit AIC dorigine thrombo-embolique est nanmoins possible ce qui ncessite, avant de retenir le diagnostic d infarctus lacunaire , une recherche tiologique complète (cardiopathies emboligènes, athrosclrose, ..)
7.4 Autres causes
ð Dissections des artères cervico-encphaliques
Reprsentent 20% des AIC du sujet jeune environ
Correspondent au dveloppement dun hmatome dans la paroi de lartère, responsable dune stnose (avec risque dembol distal) voire dune occlusion de lartère dissque.
Un facteur traumatique au cou (choc, hyperextension, ) les jours prcdents est rapport dans moins de la moiti des cas. Parfois, la dissection se dveloppe sur une anomalie artrielle prexistante (dysplasie fibromusculaire surtout, maladie du tissu lastique plus rarement).
La symptomatologie est caractrise par lassociation de signes locaux et de signes ischmiques daval, mais chacun est inconstant :
Signes locaux
Cervicalgie/cphale : signe essentiel de la dissection, à rechercher devant tout AIC du sujet jeune (cphale pri-orbitaire sur dissection carotidienne, postrieure sur dissection vertbrale)
Acouphène pulsatile par perception de lacclration du flux sanguin dans la carotide intraptreuse
Claude-Bernard-Horner par compression du plexus sympathique pri-carotidien
Parfois, paralysie des paires craniennes basses (IX, X, XI) en arrière de la carotide (espace sous-parotidien postrieur)
Signes ischmiques : ils dcoulent de locclusion artrielle daval ou au niveau de la dissection.
Examens :
lchodoppler cervical rvèle la stnose artrielle (visualise parfois lhmatome)
le diagnostic repose sur la visualisation à lIRM cervicale de lhmatome parital de lartère (au-dessus du bulbe pour la carotide interne au cou, en regard de C1-C2 pour la vertbrale). Langiographie est rarement ralise.
Pronostic : rgression de lhmatome de paroi avec le plus souvent rcupration ad integrum de la paroi artrielle (rares anvrysmes rsiduels). La rcidive est exceptionnelle (recommander la reprise normale des activits). Les squelles sont celles de lAIC.
ð Causes rares
Elles sont multiples : artriopathies inflammatoires, infectieuses ou post-radiothrapiques, causes hmatologiques, cancers solides, complications de mdicaments vasospastiques ou de drogues, maladies mtaboliques, etc
Ils recouvrent largement ceux des cardiopathies ischmiques mais lordre dimportance est diffrent.
HTA : principal facteur de risque des AVC, ischmiques ou hmorragiques (augmentation du risque cest-à-dire risque relatif, RR- de 4 environ). Plus de la moiti des AVC surviennent sur HTA chronique.
Tabac : RR = 2. Important facteur de risque dathrosclrose carotidienne
Hypercholestrolmie : RR = 1,5. Ce facteur de risque majeur de linfarctus du myocarde apparait donc comme un facteur de risque accessoire des AIC. Lhypocholestrolmie semble à linverse augmenter le risque dHIP.
Diabète : RR = 1,5
Alcoolisme chronique : augmentation progressive du risque au delà de 3 verres-standard par jour.
Migraine : augmentation du risque chez la femme jeune, mais surtout en cas de tabagisme et contraception orale associs
Contraception orale : faible augmentation du RR, diminu encore par lutilisation des pilules microdoses. Risque essentiellement li à leffet synergique avec le tabac.
Obsit, absence dactivit physique : leur rle est moins bien dmontr que pour les cardiopathies ischmiques
.1 Prvention secondaire
ðPrincipes gnraux
prise en charge des facteurs de risque modifiables, notamment ceux pour lesquels limpact des mesures correctives est bien dmontr (traitement dune HTA ++, arrêt du tabac).
utilisation de thrapeutiques antithrombotiques, selon les cas antiplaquettaires ou anticoagulants :
Laspirine est lantiplaquettaire le plus utilis. La dose recommande est situe entre 100 et 325 mg. Il diminue le risque de rcidive dAIC denviron 20%.
Plusieurs autres antiplaquettaires ont une efficacit prouve : si la ticlopidine nest plus initi aujourdhui (risque neutropnique), le clopidogrel (Plavix*, 1 cp/j) et lassociation dipyridamole 400 mg/j + aspirine 50 mg/j (Asasantine*, 2 cp/j) sont efficaces et bien tolrs
Les AVK sont rservs aux cardiopathies emboligènes et à quelques situations plus rares (thrombophilie, premiers mois après une dissection).
dautres mdicaments peuvent simposer en fonction de la cause de lAIC (antiarythmiques cardiaques, etc)
intervention sur les vaisseaux en cas de stnose serre en amont dun AIC/AIT : endartriectomie sur lorigine de la carotide interne, peut-être angioplastie prochainement
Lindication de ces mesures est fonction de la cause de lAIC
ðTraitement selon la cause de lAIC
Athrosclrose
dans tous les cas prise en charge des facteurs de risque et antiplaquettaire
en cas de stnose serre (> 70%) à lorigine de lartère carotide damont (symptomatique), lendartriectomie permet dabaisser nettement le risque dAIC homolatral ultrieur. Le risque opratoire dpasse le bnfice en cas de stnose < 50%. Le bnfice est incertain entre 50 et 70% (discut individuellement).
il ny a pas dindication à un traitement par AVK au long cours
Cardiopathies emboligènes
en cas de FA, les AVK permettent de rduire le risque dAIC ultrieur des 2/3. LINR cible est entre 2 et 3. Il faut tenir compte, à lchelon individuel, du risque hmorragique (crbral et systmique) du traitement : patient ag avec troubles cognitifs, risques de chutes, etc En cas de contre-indication aux AVK, laspirine est une alternative defficacit prouve quoique nettement plus faible (moins 20% de rcidives).
dans les prothèses valvulaires mcaniques, lINR cible est suprieur à 3.
pour toutes les cardiopathies à risque embolique modr ou mal dtermin (cf tableau plus haut), le risque des anticoagulants dpasse le bnfice attendu, sauf peut-être chez certains patients associant plusieurs anomalies.
Petits infarctus profonds
Bien quil ny ait pas de dmonstration directe de lefficacit dun traitement antithrombotique, laspirine est largement prescrite
Autres causes
après dissection artrielle extra-cranienne, les AVK sont prescrits jusquà normalisation de la paroi artrielle
dans le large groupe des AIC sans cause identifie, un traitement par antiplaquettaire au long cours est recommand.
9.2 Prvention primaire
prise en charge des facteurs de risque ++, notamment de lHTA, quel que soit lage
il ny a pas de dintrêt au plan neurovasculaire à la prise daspirine au long cours en labsence de manifestation dAIT/AIC
AVK en prvention primaire devant une FA : le bnfice est largement dmontr mais la dcision varie selon les facteurs de risque ischmiques associs (cf supra). Par exemple, les AVK peuvent ne pas être prescrits en cas dee FA isole du sujet jeune.
Endartriectomie sur stnose carotide asymptomatique serre : le bnfice de la chirurgie est modeste car le risque spontan dAIC est faible (2% par an), alors que le risque opratoire avoisine 3%. Lindication est donc discute à lchelon individuel, et ncessite une discussion multidisciplinaire (apprciation notamment du risque cardiaque ultrieur)
Les principales sont :
50% des HIP.
par formation de micro anvrismes, parallèlement à la lipohyalinose, sur les artères perforantes.
topographies les plus frquentes : capsulo-thalamique et capsulo-lenticulaire, puis crbelleuse.
5 à 10% des HIP, mais au moins 1/3 chez le jeune
Il peut sagir dune malformation artrio-veineuse ou dun cavernome (malformation cryptique, cest-à-dire non visible à langiographie)
10.3Traitements antithrombotiques
10% des HIP sont lis à la prise dAVK au long cours
le risque des antiplaquettaires est beaucoup plus faible
10.4Tumeurs crbrales
5 à 10% des HIP, concernent surtout les tumeurs malignes
lHIP peut être responsable de la dcouverte de la lsion expansive
10.5 Autres causes : angiopathie amyloïde (HIP lobaires rcidivants + dficit cognitif chez un sujet ag), anomalies de lhmostase, thrombophlbite crbrale (cf infra), endocardite infectieuse (rupture danvrisme mycotique), alcoolisme chronique et aigu, toxiques (cocaïne), artrites crbrales
Lorientation tiologique face à une HIP dpend de lage du patient, topographie de lHIP. Par exemple, un hmatome capsulo-thalamique chez un sujet hypertendu ne ncessite pas, sauf exception, la recherche dautres causes. Les examens à vise diagnostique sont, après le scanner :
lIRM (arguments pour une MAV, pour un cavernome, pour une thrombophlbite crebrale,)
langiographie crbrale, surtout ralise chez le jeune non hypertendu, si possible à distance de lhmorragie car lHIP peut, par effet compressif, masquer une malformation vasculaire.
11.1 Mortalit et rcidive
La mortalit après un AVC est de 20% à 1 mois et de 40% à 1 an.
La surmortalit à distance est surtout lie à laugmentation du risque coronarien (40% des dcès à distance dun AVC. En cas de stnose carotide asymptomatique, ce risque coronarien est plus lev que le risque dAIC, quel que soit le degr de stnose.
A 5 ans, 30% des AVC ont rcidiv.
11.2 Morbidit
A distance dun AVC :
1/3 des survivants sont dpendants
1/3 gardent des squelles tout en tant indpendants
1/3 retrouvent leur tat antrieur
Le pronostic fonctionnel est très difficile à tablir à la phase aigu, même si les principaux paramètres sont connus (age jeune, petite taille de lAVC, qualit de lentourage), ce qui doit rendre prudent face aux demandes initiales. Lessentiel de la rcupration se fait dans les 3 premiers mois mais elle se poursuit jusquà 6 mois. Au-delà, lamlioration fonctionnelle tient à une meilleure adaptation au handicap rsiduel.
11.3 Particularits de lHIP
Mortalit prcoce plus leve que lAIC, lie à leffet de masse
Pronostic fonctionnel meilleur que lAIC car possibilit de refoulement des structures nerveuses sans destruction.
Les thromboses veineuses crbrales (TVC), relativement rares, doivent être bien connues car accessibles à un traitement. Elles touchent un ou plusieurs sinus veineux, exceptionnellement une veine corticale. Elles peuvent provoquer ou non un infarctus crbral, souvent avec composante hmorragique, dont la topographie ne correspond pas à un territoire artriel.
- Hypertension intracranienne
les cphales constituent un signe essentiel, qui manque rarement
lœdème papillaire est prsent dans 1 cas sur 2
des troubles de la conscience sont possibles
pour 25% des TVC, la symptomatologie se rsume à cette HIC
- Crises pileptiques
partielles ou gnralises
hmicorporelles à bascule, rares mais vocatrices
- Dficits neurologiques focaux
- ils sont inconstants et variables selon la localisation de la TVC
- par exemple : dficits à bascule si thrombose du sinus longitudinal suprieur, ophtalmoplgie si thrombose du sinus caverneux.
IRM crbrale avec angio-RM veineuse : cest lexamen de rfrence, à raliser devant toute suspicion de TVC. LIRM doit comprendre plusieurs squences et plans de coupe. A la phase dtat, le sinus thrombos apparait en hypersignal en T1 et T2. En ARM veineuse, absence de flux au sein des veines ou sinus thromboss. Lexcellente sensibilit de lIRM fait que langiographie conventionnelle est dsormais rarement ralise devant une suspicion de TVC.
Scanner crbral : outre linfarctus hmorragique, il peut montrer, sans injection, lhyperdensit spontane du thrombus (rare). Après injection, la prise de contraste de la paroi du sinus thrombos ralise limage classique du delta .
Examen du LCR : ralis en labsence de lsion intracranienne focale, elle montre une elvation de la pression douverture, une hyperprotinorachie, et une pliocytose de formule variable, et quelques hmaties.
- Le traitement comprend :
- le traitement tiologique (radication dun foyer infectieux, arrêt dfinitif de la contraception orale)
- le traitement symptomatique : antipileptique en cas de crise, antioedmateux
- le traitement anticoagulant : hparinothrapie dbute en urgence (même en cas dinfarctus hmorragique) apportant une amlioration rapide de la symptomatologie, relaye par des AVK (minimum 6 mois, parfois plus si persistance dune cause).
- Le pronostic est favorable dans la grande majorit des cas, après mise en route du traitement anticoagulant. Les TVC profondes sont plus souvent dvolution dfavorable.
|
Cardiopathies à risque embolique lev |
Cardiopathies à risque modr ou mal dtermin |
|
- Prothèse valvulaire mcanique - RM avec AC/FA - AC/FA avec facteur de risque associ - Thrombus dans loreillette ou le ventricule gauche - Maladie de loreillette - Infarctus du myocarde rcent (< 4 semaines) - Akinsie segmentaire du VG - Cardiomyopathie dilate - Endocardite infectieuse - Myxome de loreillette |
- RM sans AC/FA - RA calcifi - Calcifications annulaires mitrales - Bio-prothèse valvulaire - Foramen ovale permable - Anvrisme du septum interauriculaire - AC/FA isole - Flutter - Cardiopathie hypertrophique - Hypokinsie segmentaire du VG - Insuffisance cardiaque congestive - Endocardite non bactrienne |
Causes/facteurs gnraux- Priode post opratoire - Grossesse et surtout post-partum ++ (mfiance devant toute cphale dans ce contexte) - Contraception orale - Affections hmatologiques - Troubles de lhmostase congnitaux (dficit en protine C, S, antithrombine III) ou acquis (anticoagulant circulant, CIVD, cryoglobulinmie) - Infections (septicmies, endocardite) - Cancers et chimiothrapie - Maladies inflammatoires (Behcet notamment) - Causes diverses (dshydratation svère, cirrhose, syndrome nphrotique, ) |
Causes/facteurs locaux infectieux- Infection de voisinage ++ (otite, mastoïdite, sinusite, infection buccodentaire, ) - Infection intracranienne (abcès, empyème sous-dural, mningite) |
|
Causes/facteurs locaux non infectieux - Traumatisme cranien (ouvert ou ferm, avec ou sans fracture) - Intervention neurochirurgicale - Malformation vasculaire (fistule dure-mrienne) - Cathtrisme jugulaire |
A Il existe deux systèmes artriels
Le système carotidien : l'artère carotide interne possède une seule branche collatrale importante, lartère ophtalmique, et se termine en 4 branches :
Ø l'artère crbrale moyenne ou sylvienne
Ø l'artère crbrale antrieure
Ø l'artère choroïdienne antrieure
Ø l'artère communicante postrieure.
2 Le système vertbro-basilaire : les 2 artères crbrales, après un long trajet intratransversaire, pnètrent dans la boite cranienne et se rejoignent sur la ligne mdiane pour donner une artère unique, le tronc basilaire. Les collatrales de ce système sont :
Ø les artères crbelleuses (postro-infrieures, moyennes, suprieures)
Ø les artères perforantes (tronc crbral)
Le tronc basilaire se termine par les deux artères crbrales postrieures.
B Les voies de supplance
Leur qualit explique la variabilit du tableau clinique dun patient à l'autre.
1 Le polygone de Willis : il s'agit d'un cercle d'anastomoses entre le système carotidien (antrieur) et le système vertbrobasilaire (postrieur).
Il est compos :
Ø En avant : par les deux crbrales antrieures runies par l'artère communicante antrieure
Ø Sur chaque ct : par l'artère communicante postrieure
Ø En arrière : par les deux artères crbrales postrieures
2 Les anastomoses entre la carotide interne (C.I.) et la carotide externe (C.E.) : elles se font dans l'orbite entre l'artère ophtalmique (branche de la C.I.) et l'artère faciale (branche de la C.E.). En cas de thrombose de la C.I., le sens de la circulation sanguine dans l'artère ophtalmique peut être invers, tablissant un shunt C.E.ð C.I., dcelable par l'examen doppler.
3 Les anastomoses corticales : elles de dveloppent entre deux artères voisines à la convexit du cerveau (par exemple entre les extrmits des artères crbrales antrieure et moyenne)

IRM coupe cervicale : hmatome de
paroi tmoignant dune dissection de lartère carotide gauche![]()

Annexe 3 :
Artriopathies
Stnoses carotidiennes
athrosclreuses : < < angiographie
conventionnelle angio RM > >


IRM (T1) : Thrombose dun sinus latral
(flèche) avec infarctus veineux hmorragique
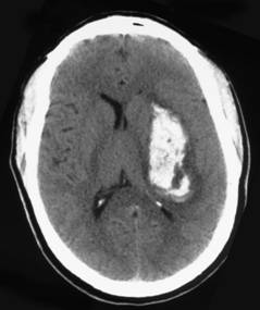
Scanner (sans injection) : HIP
capsulo-lenticulaire gauche chez un sujet hypertendu

Annexe 5 : Images dAIC
Scanner sans injection : AIC sylvien
gauche superficiel IRM (diffusion) : AIC crbral
postrieur droit IRM (FLAIR) : AIC jonctionnel
postrieur gauche




|
Politica de confidentialitate | Termeni si conditii de utilizare |
Vizualizari: 2884
Importanta: ![]()
Termeni si conditii de utilizare | Contact
© SCRIGROUP 2025 . All rights reserved