| CATEGORII DOCUMENTE |
| Bulgara | Ceha slovaca | Croata | Engleza | Estona | Finlandeza | Franceza |
| Germana | Italiana | Letona | Lituaniana | Maghiara | Olandeza | Poloneza |
| Sarba | Slovena | Spaniola | Suedeza | Turca | Ucraineana |
NBME STEP 1 PATHOLOGY
INFLAMMATION
A 40-year-old man has the recent onset of right-sided chest pain, difficulty breathing, and fever. On auscultation he has crackles, decreased respiratory sounds, and evidence of a right-sided pleural effusion. Which of the following best describes the expected type of inflammatory process involving the lung?
A) Fibroblasts, collagen deposition, replacement of intrinsic tissue
B) Macrophages, lymphocytes, increased concentrations of immunoglobulins
C) Mast cells, histamine, smooth muscle contraction
D) Neutrophils, increased vascular permeability, edema
E) Vascular budding, fibroblasts, edema, proteoglycans
A 57-year-old man receives a sintered titanium oxide implant during total hip arthroplasty following traumatic injury. During the first 6 weeks following surgery, bone ingrowth anneals to the bone-metal interface in both the femur and acetabulum, thus securing the prosthesis in position. Type I collagen secretion in the first stage of matrix formation is mediated by which of the following cell types?
A) Chondroblasts
B) Chondrocytes
C) Endothelial cells
D) Macrophages
E) Osteoblasts
F) Osteoclasts
G) Osteocytes
In the diagram of a blood vessel, what is the principal site of nitric oxide action in producing vasodilation?

a) b) c) d) E) F)
CELL INJURY
|
In reversible hypoxic cell injury, cellular swelling results from intracellular accumulation of |
|
A |
cholesterol |
|
B |
glycogen |
|
C |
phospholipid |
|
D |
potassium |
|
E |
sodium |
||||||||||||||||||||||||
|
CELL INJURY
|
CELL INJURY
|
An adult's hemoglobin is 98% saturated with oxygen, but arterial oxygen content is decreased. The most likely cause of this condition is |
|
A |
anemia |
|
B |
an arteriovenous shunt |
|
C |
hemoglobinopathy |
|
D |
high-altitude hypoxia |
|
E |
pulmonary diffusion defect |
MUSCULOSKELETAL
A 61-year-old woman has a 10-year history of progressive pain in the hips, knees, and hands. She has symmetric swelling and formation of nodules in the distal interphalangeal joints of her hands and pain on movement of both knees. There is no increased warmth or tenderness. The most likely cause of her joint pain is
A) gout
B) Lyme disease
C) osteoarthritis
D) pseudogout
E) rheumatoid arthritis
COAGULATION
A 3-year-old boy with cystic fibrosis is evaluated for the acute onset of an uncontrollable nosebleed. There is no family history of a bleeding disorder. A few large bruises are seen on the legs; no other abnormalities are noted. Prothrombin and partial thromboplastin times are prolonged. The patient's abnormalities are likely to improve with treatment using a cofactor for which process?
A) Carboxylation of prothrombin
B) Conversion of homocysteine to methionine
C) Farnesylation of ras
D) Hydroxylation of procollagen
E) Phosphorylation of pyruvate dehydrogenase
LYMPHOPROLIFERATIVE
A 16-year-old boy is brought to the emergency department because of respiratory distress. Examination shows a large mediastinal mass and 3-cm firm cervical lymph nodes bilaterally. Examination of tissue obtained on cervical lymph node biopsy shows small lymphocytes interspersed with binucleate cells with clear chromatin and large eosinophilic nucleoli. The most likely diagnosis is
A) Burkitt's lymphoma
B) diffuse noncleaved cell lymphoma
C) follicular lymphoma
D) Hodgkin's disease
E) lymphoblastic lymphoma
A 65-year-old man with inguinal adenopathy undergoes a lymph node biopsy. Light microscopy shows replacement of nodal tissue by cells that form well-defined, uniform glandular structures. The nuclei are relatively small and nucleoli are inconspicuous. An immunohistochemical stain for prostate-specific antigen is positive. These findings are most consistent with which of the following?
A) High-grade, high-stage neoplasm
B) High-grade, low-stage neoplasm
C) Low-grade, high-stage neoplasm
D) Low-grade, low-stage neoplasm
GASTRO
A 45-year-old woman has a 7-month history of moderate abdominal pain that is exacerbated by eating. She has used alcohol heavily for the past 10 years. X-ray films of the abdomen show diffuse retroperitoneal calcifications. The most likely diagnosis is
A) cholangitis
B) chronic pancreatitis
C) pancreatic islet cell neoplasm
D) perforated gastric ulcer
E) ulcerative colitis
GASTRO
A 20-year-old man has gastrointestinal bleeding due to Meckel's diverticulum. Histologic evaluation of the resected diverticulum is most likely to show
A) acute bacterial inflammation
B) carcinoid tumor
C) gastric mucosa
D) an impacted enterolith
E) varices at the neck of the diverticulum
RENAL
A 68-year-old woman is admitted to the hospital for evaluation of gross hematuria. Two days after admission she develops aphasia and right hemiplegia, followed shortly by coma and death. The cut surface of one of her kidneys as seen at autopsy is shown. Which of the following was the most likely cause of the hematuria?
A) Metastatic cancer
B) Papillary necrosis
C) Polycystic kidney disease
D) Renal abscess
E) Renal cell carcinoma
F) Renal infarct
ENDOCRINE
|
A 3-year-old boy has a mutation in the calcium receptors on cell surfaces of his parathyroid gland and on the basolateral (blood) side of the thick ascending limb of the loop of Henle. Which of the following patterns is expected with a mutation that leads to activation of this receptor in the absence of binding of its ligand, calcium?
|
|
A |
|
|
B |
|
|
C |
|
|
D |
|
|
E |
|
|
F |
|
|
G |
|
|
H |
|
DERMATOLOGY
|
1. A 9-year-old boy has had the lesions shown for several months. Which of the following histologic changes would be most likely if this lesion were biopsied?
|
A) Cytoid bodies and loss of adhesion to adjacent cells
B) Epidermal acanthosis with subepidermal blister
C) Epidermal thinning with marked inflammatory dermal infiltrate
D) Marked squamous cell dysplasia with thinned stratum corneum
E) Thickened stratum corneum and epidermis and vacuolated squamous cells
GASTRO IIMUNO
A 45-year-old woman who has acute diverticulitis develops severe hypotension, tachypnea, and tachycardia. She subsequently develops cyanosis and hypoxemia unresponsive to oxygen therapy. X-ray films of the chest show a diffuse alveolar infiltrate. Blood culture grows Escherichia coli. A major factor in the pathogenesis of this syndrome is
A) degranulation of mast cells
B) delayed (type IV) hypersensitivity to bacterial products
C) increased surfactant production by type II pneumocytes
D) production of antibodies to alveolar basement membranes
E) release of oxygen free radicals from sequestered neutrophils
INFLAMMATION
Basic fibroblast growth factor is applied to an experimentally induced dermal wound. A histologic section is prepared 72 hours later. Compared with an untreated wound, the most likely alteration in this wound is
A) decreased numbers of fibroblasts
B) increased breakdown of matrix
C) increased numbers of blood vessels
D) increased numbers of eosinophils
E) Increased numbers of giant cells
CARDIO
A 50-year-old woman comes to the physician because of a fever, cachexia, and malaise for the past 6 months. Auscultation discloses a low-pitched, early to mid-diastolic murmur. Echocardiography shows a left atrial mass that prolapses into the mitral valve orifice during diastole. Which of the following findings is most likely on microscopic examination of this mass?
A) Amorphous extracellular matrix
B) Glycogen-containing polygonal cells
C) Malignant lymphoid cells
D) Malignant spindle cells
E) Mature adipose cells
CARDIO
A 56-year-old man with extensive coronary artery atherosclerotic disease has evidence of coronary vasoconstriction and myocardial ischemia. The most likely cause of the vasoconstriction is failure of the endothelial cell layer of the diseased coronary arteries to produce a substance with which of the following actions?
A) Activation of Na+ channels
B) Closure of K+ channels
C) Opening L-type Ca2+ channels
D) Stimulation of ATP accumulation
E) Stimulation of cyclic GMP accumulation
NEOPLASIA
Over a period of 3 weeks, a 60-year-old woman develops anorexia, restlessness, irritability, and confusion. Serum sodium concentration is 125 mEq/L; urine osmolality is increased. Assuming the patient's disorder represents a paraneoplastic syndrome, which of the following diagnostic procedures is most likely to result in an abnormal finding?
A) Examination of bone marrow
B) Liver scan
C) Mammography
D) Measurement of urinary excretion of 5-hydroxyindoleacetic acid
E) X-ray film of the chest
NEUMO
A 29-year-old patient has a 3-week history of persistent cough and intermittent flushing and diarrhea. An x-ray film of the chest and bronchoscopy show a 2-cm, solitary, well-defined mass that projects into the lumen of the mainstem bronchus. The mucosa of the bronchus is intact. These findings are most characteristic of
A) bronchial carcinoid tumor
B) hamartoma
C) mesothelioma
D) metastatic adenocarcinoma
E) squamous cell carcinoma of the lung
GASTRO
A 3-year-old boy has a 5-week history of weight loss and bulky, frothy, foul-smelling stools. Dietary modification results in clinical improvement. Which of the following is the most likely finding on examination of a biopsy specimen from the small intestine?
A) Atrophy of villi and microvilli
B) Degenerative changes of the myenteric plexus
C) Multiple outpouchings through the muscle coat
D) Numerous ulcerations and pseudopolyps
E) Pseudomembrane covering the luminal surface
NEURO
A 38-year-old man comes to the physician because of involuntary movements of the arms and legs for the past month and progressive facial twitching and grimacing over the past year. Neurologic examination shows athetoid and choreiform movements of the arms and legs, dystonic movements of the tongue, dysarthria, impairment in immediate and short-term memory, and dyscalculia. Which of the following is the most likely diagnosis?
A) Amyotrophic lateral sclerosis
B) Dementia, Alzheimer's type
C) Huntington's disease
D) Korsakoff's syndrome
E) Multi-infarct dementia
F) Parkinson's disease
G) Wernicke's encephalopathy
ENDOCRINE
A 16-year-old girl has generalized weakness and nocturnal leg cramps. She is not taking any medications. Laboratory studies show:
Serum
Na+ 135 mEq/L
Cl 108 mEq/L
K+ 2.8 mEq/L
HCO3 21 mEq/L
Urine pH 7.0
Which of the following is the most likely diagnosis?
A) Adrenal insufficiency
B) Hyporeninemic hypoaldosteronism
C) Nephrogenic diabetes insipidus
D) Renal tubular acidosis
E) Syndrome of inappropriate ADH (vasopressin
MALE PART
A 20-year-old man has a painless 2-cm nodule in his right scrotum. The nodule is difficult to distinguish from the right testis and does not transilluminate. There is no additional swelling or inguinal adenopathy. The most likely diagnosis is
A) cryptorchidism
B) hydrocele
C) scrotal cyst
D) testicular cancer
E) testicular torsion
F) varicocele
NEURO
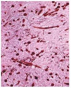
An 83-year-old woman dies after having progressive memory loss, apraxia, and aphasia for 4 years. A photomicrograph of brain tissue obtained on autopsy is shown. Which of the following is the most likely cause of these findings?

A) Creutzfeldt-Jakob disease
B) Dementia, Alzheimer's type
C) Hypothyroidism
D) Vascular dementia
E) Vitamin B12 (cyanocobalamin) deficiency
ENDOCRINE
A 38-year-old woman has noticed the gradual development of a goiter. Thyroid function studies show serum thyroxine (T4) and triiodothyronine (T3) concentrations to be within the reference range. Serum concentration of thyroid-stimulating hormone is slightly increased. The serum contains a high level of antimicrosomal (antiperoxidase) antibodies, but no thyroid-stimulating hormone receptor antibodies are detected. The most likely diagnosis is
A) autoimmune (Hashimoto's) thyroiditis
B) diffuse toxic goiter (Graves' disease)
C) primary atrophy of the thyroid gland
D) Riedel's struma
E) subacute thyroiditis
NEUMO
A 34-year-old woman comes to the physician's office because she has had a cough, fatigue, low-grade fever, mild dyspnea, and aching joints for the past month. Physical examination shows no abnormalities. X-ray film of the chest shows bilateral hilar adenopathy with mild diffuse parenchymal infiltrates. Examination of tissue obtained by transbronchial biopsy during bronchoscopy shows noncaseating granulomas. Which of the following is the most appropriate therapy?
A) Azathioprine
B) Methotrexate
C) Prednisone
D) Rifampin
E) Zidovudine (AZT)
NEURO
An 18-year-old man has multiple bilateral angiomyolipomas. Which of the following lesions is most likely to be found within the central nervous system?
A) Adenocarcinoma
B) Cortical hamartoma
C) Glioblastoma multiforme
D) Metastatic angiomyolipoma
E) Subependymal meningioma
CARDIO
A 58-year-old man develops an acute coronary thrombosis with resultant myocardial infarction. The swelling of the myocardial cells bordering the infarct is most likely to be due to
A) depletion of ATP
B) efflux of Ca2+
C) efflux of Na+
D) increase of intracellular pH
E) production of H2O2
NEUMO
A 45-year-old man develops a fever, a cough productive of rusty sputum, and chest pain. Sputum cultures are positive for Streptococcus pneumoniae. He is treated with antibiotics and recovers uneventfully. Which of the following cell types is most likely responsible for regeneration of the injured tissue?
A) Clara cell
B) Fibroblast
C) Macrophage
D) Type I pneumocyte
E) Type II pneumocytes +++
FEMALE PART- GENETICS
A 16-year-old girl is evaluated because she has not yet had a menstrual period. She is 147 cm (4 ft 10 in) tall and weighs 42 kg (93 lb). Breast development is Tanner stage 1 of 5 and pubic hair growth is Tanner stage 2 of 5, respectively. She has a low hairline, short 4th metacarpals bilaterally, and multiple pigmented nevi. A cervix is seen on pelvic examination. Laboratory studies show an increased serum follicle-stimulating hormone concentration. Serum thyroid-stimulating hormone concentration and serum prolactin concentration are within the reference ranges. Which of the following is the most likely diagnosis?
A) Androgen insensitivity syndrome
B) Gonadal dysgenesis 45,X (Turner's syndrome)
C) Gonadotropin-secreting pituitary tumor
D) Isolated gonadotropin deficiency
E) Paramesonephric (mllerian) aplasia
MUSCULOSKELETAL
A 30-year-old woman is brought to the emergency department because of pain in her upper arm after falling off a horse. X-ray films show a closed simple fracture of the upper humerus. Serum studies 3 weeks later are most likely to show an increased concentration of
A) alkaline phosphatase
B) calcium
C) creatine kinase
D) -glutamyltransferase
E) phosphorus
MALE PART
An 18-year-old man has nausea, vomiting, headache, a temperature to 39.4 C (103 F), and painful swelling of the parotid glands. He is at increased risk for
A) appendicitis
B) arthritis
C) cystitis
D) episcleritis
E) orchitis
FEMALE PART
A 28-year-old woman is undergoing evaluation at 37 weeks' gestation. Blood pressure is 120/75 mm Hg sitting, 115/70 mm Hg standing, and 90/60 mm Hg supine. The most likely explanation for these findings is
A) compression of the vena cava
B) gestational diabetes mellitus
C) peripartum cardiomyopathy
D) preeclampsia
E) uterine contraction
ENDOCRINE
A 45-year-old man who is undergoing dialysis for chronic renal failure starts receiving erythropoietin therapy. He has a history of type 1 diabetes mellitus, peripheral neuropathy, and well-controlled hypertension. Exacerbation of which of the following is most likely to occur in this patient?
A) Chronic renal insufficiency
B) Diabetes mellitus
C) Hypertension
D) Osteitis fibrosa cystica
E) Peripheral neuropathy
NEURO
A 2-year-old boy has brittle depigmented hair, cerebral atrophy, delayed myelination, motor delay, and mental retardation. Lysyl oxidase activity is decreased. The function of which of the following substances is most likely to be defective in this patient?
A) Albumin
B) Ceruloplasmin
C) Chondroitin sulfate
D) Collagen
CARDIO
A 45-year-old woman has a 3-month history of a persistent cough and increasing shortness of breath. She denies chest pain or other illnesses. Blood pressure is 110/70 mm Hg, and pulse is 110/min. She has diffuse basilar crackles and an S3 gallop, but no murmur. ECG shows sinus tachycardia and nonspecific ST-T wave changes. Echocardiography shows a dilated left ventricle and a diffusely hypokinetic heart. The most likely diagnosis is
A
) acute pericarditis with effusion
B
) dilated cardiomyopathy
C
) hypertrophic cardiomyopathy
D
) severe mitral valve prolapse
E
) silent subendocardial infarct
GENETICS
A 2-year-old boy has a unilateral cleft lip and cleft palate. He has no other malformations and is otherwise healthy. He has no family history of birth defects. His parents are not related. Which of the following genetic mechanisms is most likely to have caused these congenital abnormalities?
A) Autosomal dominant inheritance
B) Autosomal recessive inheritance
C) Chromosome aneuploidy
D) Chromosome deletion
E) Mitochondrial DNA mutation
F) Multifactorial inheritance
G) X-linked recessive inheritance
HEMATO
A 40-year-old woman has a fever and petechiae. Laboratory studies show:
Hemoglobin 9 g/dL
Leukocyte count 5000/mm3
Neutrophils 10%
Lymphocytes 20%
Blasts 70%
Platelet count 20,000/mm3
A peripheral blood smear shows Auer rods. The most likely diagnosis is
A) acute lymphoid leukemia
B) acute myeloid leukemia
C) chronic lymphocytic leukemia
D) chronic myelogenous leukemia
E) leukemoid reaction
ENDOCRINE
A 5-month-old male infant develops lethargy, somnolence, hypothermia, feeding problems, and persistent jaundice. After several days, he develops a hoarse cry and hypotonic muscles. The tongue is large and protruding, and an umbilical hernia is noted. Hematologic evaluation shows no abnormalities. Which of the following abnormalities is most consistent with these findings?
A) Agenesis of the parathyroid glands
B) Congenital adrenal hyperplasia
C) Maternal diffuse toxic goiter (Graves' disease)
D) Thyroid hypoplasia
E) Trisomy 21 (Down's syndrome)
CELL INJURY
A 59-year-old man undergoes repair of an abdominal aortic aneurysm. During the procedure the distal abdominal aorta is clamped, occluding blood supply to the legs for 45 minutes. The period of ischemia is short enough that no permanent damage is done to the affected tissues. Examination of tissue obtained on biopsy of the gastrocnemius muscle at the end of the period of ischemia is most likely to show
A) coagulation necrosis
B) erythrophagocytosis
C) hydropic swelling
D) karyolysis
E) karyorrhexis
PNEUMO
Alveolitis with interstitial edema, inflammatory cell accumulation, and type II epithelial cell hypertrophy and hyperplasia is believed to be an early and central event in the pathogenesis of
A) anthracosis
B) asthma
C) centriacinar emphysema
D) chronic bronchitis
E) pulmonary fibrosis
MALE G-U
Benign prostatic enlargement causes a characteristic impression on the urinary bladder in which area of the cystogram?

a) b) c) d)
GASTRO- OB-GYN
A healthy 25-year-old woman who is at 24 weeks' gestation develops heartburn within an hour after eating. Which of the following is the most likely cause?
A) Decreased competency of the lower esophageal sphincter
B) Decreased esophageal motility
C) Increased gastric acid production
D) Increased gastric emptying
E) Increased gastric motility
ENDOCRINE
A 64-year-old woman comes to the physician's office because of gradually worsening abdominal cramps, nausea, diarrhea, flushing of the skin, and heart palpitations. Twenty-four hour urinary 5-hydroxyindoleacetic acid excretion is increased. The most likely cause of these findings is a neoplasm originating in which of the following structures?
A) Adrenal gland
B) Esophagus
C) Kidney
D) Small intestine
E) Spleen
F) Thyroid
GENETICS FEMALE
A female neonate has an enlarged clitoris. Pregnancy and delivery were uneventful. Laboratory studies on blood taken at 7 days of age show hyponatremia and hyperkalemia. Microscopic examination of the adrenal cortex is most likely to show which of the following features?
A) Dysplasia
B) Hyperplasia
C) Hypoplasia
D) Metaplasia
E) Neoplasia
MUSCULO SKELETAL
An elderly woman has had generalized bone pain and a loss of height over the last 5 years. Complete blood count is normal. Serum calcium, phosphate, and creatinine concentrations and serum alkaline phosphatase activity are within the reference range. Serum protein electrophoresis shows no abnormalities. X-ray films of the spine show generalized loss of bone density and a compression fracture of T-8. Which of the following is most likely to be seen in tissue obtained on biopsy of the iliac crest?
A) Cysts filled with fibroblasts and giant cells
B) Disorderly osteoblastic and osteoclastic activity
C) Sheets of plasma cells
D) Thin trabeculae with low osteoclastic activity
RENAL
A 46-year-old man is killed in an automobile accident. The photograph shows a kidney at autopsy. Which of the following would have been expected in this patient?

A) Cerebral arterial aneurysms
B) Hypertensive heart disease
C) Multiple hepatic cysts
D) Normal renal function
E) Vesicoureteral reflux
RENAL
An afebrile 8-year-old girl is evaluated for mild edema and a 'puffy' face. She recovered from an untreated sore throat and fever 3 weeks ago. Urinalysis shows moderate proteinuria and hematuria with occasional red cell casts. A photomicrograph of renal tissue obtained on biopsy is shown. Which of the following is most likely responsible for the cellular infiltrate shown?
A) Bradykinin
B) C5a
C) Histamine
D) N-formylated peptides
E) Serotonin
GINECO
A 21-year-old woman comes to the physician because of a vaginal discharge for the past 2 weeks. She has had 3 sexual partners in the past 6 months. Examination shows tenderness with cervical motion. The discharge is mucopurulent and the cervical os is erythematous and edematous. This patient is at greatest risk for the development of which of the following?
A) Aortic aneurysm
B) Endocarditis
C) Endometrial carcinoma
D) Infertility
E) Multiple births
F) Ovarian carcinoma
G) Rheumatoid arthritis
CARDIO< DIET
A 67-year-old man is admitted to the hospital because of worsening dyspnea over the past 6 hours. He was diagnosed with hypertension 10 years ago. Temperature is 36 C (96.8 F), pulse is 100/min, respirations are 22/min, and blood pressure is 136/87 mm Hg. Physical examination shows an S3 gallop by cardiac auscultation and bilateral coarse rales halfway up the lungs bilaterally. Which of the following is the most appropriate dietary order for this patient?
A) Clear liquid diet
B) Enteral feeding via a nasoenteric tube
C) Full liquid diet
D) High-fiber diet
E) Low-residue diet
F) Parenteral nutrition via a central venous access
G) Protein-restricted diet
H) Regular hospital diet
I) Sodium-restricted diet
CELL INJURY
A 19-month-old girl dies after ingesting a bottle of her mother's iron sulfate supplements. At autopsy, microscopic examination of hepatic tissue shows lysosomal degradation. Which of the following is the most likely mechanism of this finding?
A) Activation of glutathione peroxidase activity
B) Inhibition of glutathione-S-transferase activity
C) Peroxidation of DNA
D) Peroxidation of membrane lipids
(PHARMACO)
After sampling red wine and cheese, a 55-year-old man has a severe pounding headache. Pulse is 110/min, and blood pressure is 230/145 mm Hg. He is most likely taking which of the following drugs?
A) Diphenhydramine
B) Enalapril
C) Imipramine
D) Nitroglycerin
E) Tranylcypromine
CARDIO
A 12-year-old girl is admitted to the hospital because of marked shortness of breath, an erythematous rash, and painful, swollen hip and knee joints. Antistreptolysin O titer is abnormally high. X-ray film of the chest shows an enlarged heart. She develops intractable congestive heart failure and dies on the second hospital day. Which of the following cardiac abnormalities is most likely to be seen at autopsy?
A) Granulomatous pericarditis with caseous necrosis
B) Multiple microabscesses in the myocardium
C) Myocardial edema with Aschoff bodies
D) Stenosis of the aortic valve
E) Stenosis of the mitral valve
CARDIO
A 55-year-old man being treated for congestive heart failure becomes confused about his medications and takes an overdose of digoxin. Five hours later, he reports anorexia, nausea, vomiting, and visual disturbances. Serum digoxin concentration is 10 ng/mL (toxic > 2.5 ng/mL); serum potassium concentration is 7.2 mEq/L. Which of the following is the most likely cause of the hyperkalemia?
A) Hyporeninemic hypoaldosteronism
B) Increased renal tubular absorption of potassium
C) Inhibition of Na+-K+ ATPase
D) Intravascular hemolysis
E) Rhabdomyolysis
ENDOCRINE-DERMATO
A 50-year-old woman comes to the physician because of swelling of her left cheek for 2 weeks. An elevation with a small opening in the area shown by the arrow is noted on examination of the oral mucosa. This area is most likely the opening of which of the following structures?

A) Draining abscess
B) Fistula
C) Parotid gland duct
D) Sublingual gland duct
E) Submandibular gland duct
HEMATO
A 34-year-old woman has had fatigue, irritability, intermittent lightheadedness, and heavy menstrual periods for the past 6 months. Laboratory evaluation is most likely to show which of the following?
A) Decreased serum vitamin B12 (cyanocobalamin) concentration
B) Hypercalcemia
C) Hypocalcemia
D) Increased serum vitamin B12 (cyanocobalamin) concentration
E) Megaloblastic anemia
F) Microcytic anemia
RENAL
After 6 hours of excruciating pain, a 26-year-old man passes a 3-mm calculus. The calculus is most likely to be composed primarily of
A) bilirubin
B) calcium salts
C) cystine
D) triple phosphate
E) urate
MUSCULOSKELETAL >REUMATO
In a student laboratory session, a male medical student finds erythrocytes in his urine. This finding is confirmed by the hospital laboratory. He denies any history of renal problems or recent illness. Vital signs are within normal limits. Antistreptolysin O titer is less than 1:100. Microscopic examination of urine is unremarkable except for rare red cell casts. There is no proteinuria. The most likely diagnosis is
A) diabetic glomerulosclerosis
B) IgA nephropathy
C) lupus nephritis
D) membranous glomerulonephritis
E) poststreptococcal glomerulonephritis
NEUMO
A 41-year-old woman remains hospitalized and in bed for 10 days because of complications following a hysterectomy for uterine leiomyomas. On the tenth day, she suddenly develops severe respiratory distress and collapses. She is resuscitated, but dies 2 days later. A lung as seen at autopsy is shown. Which of the following is the most likely diagnosis?

A) Bronchopneumonia
B) Interstitial pneumonia
C) Lung abscess
D) Pulmonary infarct
E) Pulmonary metastases
GASTRO
A 15-year-old girl has fever, nausea, and acute abdominal pain and tenderness. Laboratory studies show a neutrophilic leukemoid reaction. A laparotomy and appendectomy are done. Which of the following histologic findings will establish the diagnosis of acute appendicitis?
A) Follicular lymphoid hyperplasia
B) Histiocytic infiltrate of the lamina propria
C) Lymphoid infiltrate of the mucosa
D) Mucosal ulceration
E) Neutrophilic infiltrate of the muscularis
ENDOCRINE
A 45-year-old man has frequent headaches, diffuse arthralgias and generalized weakness, pain in both hands, pain in the temporomandibular joint that is worse on chewing, and increasing shoe size. He has difficulty picking up small objects. Which of the following is the most likely diagnosis?
A) Acromegaly
B) Cushing's disease
C) Hypothyroidism
D) Prolactinoma
E) Seminiferous tubule dysgenesis (Klinefelter's syndrome)
MUSCULOSKELETAL
A 3-year-old girl has multiple bone fractures, mild hearing loss, and blue sclerae. Her mother also has blue sclerae and has near-total bilateral hearing loss. These findings are most likely to be due to a defect in which of the following proteins?
A) Dystrophin
B) Elastin
C) Fibrillin
D) Myosin
E) Type I collagen
ENDOCRINE
A 50-year-old woman has myalgias, nervousness, a pounding heart, difficulty falling asleep, and decreased appetite. She had a thyroidectomy 6 months ago and is taking levothyroxine. Pulse is 120/min, and blood pressure is 140/70 mm Hg. Serum thyroid-stimulating hormone concentration is 0.1 μU/mL. Which of the following is the most appropriate therapy?
A) Add diazepam to her regimen
B) Add fluoxetine to her regimen
C) Add imipramine to her regimen
D) Add verapamil to her regimen
E) Decrease the dose of levothyroxine
F) Increase the dose of levothyroxine
ENDOCRINE
A 12-year-old boy is brought to the emergency
department because of vomiting and rapid breathing. Over the past 2 weeks,
he has been drinking fluids and urinating excessively. He has lost
weight. He is thin, afebrile, and drowsy. Respirations are rapid
and deep, and there is a fruity odor on his breath. Laboratory studies
show:
|
Arterial blood pH | |
|
Serum | |
|
Glucose |
575 mg/dL |
|
Urea nitrogen (BUN) |
74 mg/dL |
|
Creatinine |
2.0 mg/dL |
Which of the following is most likely to be increased in this patient's blood?
A) Ammonia
B) Carnitine
C) β-Hydroxybutyrate
D) Isovaleric acid
E) Sodium
HEMATO
A previously
healthy 32-year-old woman has the onset of recurrent headaches. She develops nausea, vomiting,
weakness, abdominal pain, and easy bruisability. Her temperature is 38.5 C
(101.3 F). Laboratory studies show:
|
Hemoglobin |
6.9 g/dL |
|
Leukocyte count |
15,000/mm3 |
|
Mean corpuscular volume |
78 μm3 |
|
Platelet count |
30,000/mm3 |
She is immediately admitted to the hospital. Over the next few days, she
develops progressive lethargy and lapses into a coma. A peripheral blood smear
is most likely to show
A) macrocytes
B) schistocytes
C) sickle cells
D) spherocytes
E) target cells
FEMALE PART GYN
A 42-year-old woman has a 3-month history of an intermittent reddish-brown discharge from the nipple of her right breast. No masses are palpable in either breast. There is no pain or tenderness. Which of the following is the most likely diagnosis?
A) Fibroadenoma
B) Fibrocystic disease
C) Intraductal papilloma
D) Lobular carcinoma
E) Mastitis
F) Traumatic fat necrosis
ENDOCRINE
A 55-year-old man with diabetes mellitus has burning dysesthesias over the lateral aspect of his left lower leg. Capsaicin-containing cream is effective in alleviating the symptoms. The substance most likely to have caused the dysesthesias is
A) ADH (vasopressin)
B) angiotensin II
C) dopamine
D) inositol
E) neuropeptide Y
F) nitric oxide
G) norepinephrine
H) substance P
CARDIO
A 2-day-old male neonate is transferred to the neonatal intensive care unit because of tachypnea and intense cyanosis. There is a prominent lift and a soft, systolic murmur is heard along the left sternal border. S1 is loud at the lower left sternum. X-ray film of the chest shows a normal heart size and pulmonary vascular pattern. Echocardiography shows the aorta lying anterior and to the right of the pulmonary artery. Which of the following is the most likely diagnosis?
A) Aortic coarctation
B) Kartagener's syndrome
C) Patent ductus arteriosus
D) Transposition of the great vessels
E) Ventricular septal defect
NEUMO- ENVIRONMENT
The photomicrograph is of lung tissue as seen at autopsy of a patient with an occupational exposure to

A) asbestos
B) beryllium
C) coal dust
D) iron
E) silica
NEUMO
In patients with bronchial asthma, which of the following eosinophil products is most likely to be responsible for damage to the epithelium?
A) Heparin
B) Leukotriene C4
C) Major basic protein
D) NADPH oxidase
E) Platelet activating factor
LYMPHOPROLIFERATIVE
A 15-year-old girl has had a sore throat and temperatures to 37.7 C (100 F) for 3 days. Physical examination shows erythematous pharyngeal mucosa and cervical lymphadenopathy. Leukocyte count is 12,000/mm3 with 60% lymphocytes. A slide agglutination test is positive for antibodies against Epstein-Barr virus. This virus is most likely to replicate initially in which of the following cells?
A) Peripheral blood B lymphocytes
B) Peripheral blood monocytes
C) Peripheral blood T lymphocytes
D) Pharyngeal B lymphocytes
E) Pharyngeal monocytes
F) Pharyngeal T lymphocytes
CARDIO
A 53-year-old obese woman who has hypertension is brought to the emergency department after collapsing. Prior to admission, she had severe excruciating stabbing-like chest pain radiating to her left shoulder. She is anxious and in severe pain. Pulse is 110/min, and blood pressure is 160/80 mm Hg. On auscultation, heart sounds are distant; pulsus paradoxus is present. ECG shows low voltage and ST-T wave changes. An x-ray film of the chest shows widening of the mediastinum. The most likely diagnosis is
A) aortic dissection with cardiac tamponade
B) hypertensive crisis
C) massive pulmonary thromboembolism
D) myocardial infarct with congestive failure
E) rupture of the papillary muscle
NEURO
An 82-year-old woman has become increasingly disoriented over the past year. She is pleasant and attempts to be cooperative. She performs poorly on a Mini-Mental State Examination. Pulse is 80/min, and blood pressure is 160/90 mm Hg. MRI of the head shows small lacunar lesions predominantly in the lenticulostriate arteries of the internal capsules and in other widely disparate regions of both cerebral cortices. Which of the following is the most likely explanation for these findings?
A) Dementia, Alzheimer's type
B) Huntington's disease
C) Multi-infarct dementia
D) Multiple sclerosis
E) Parkinsonism
RENAL / IMMUNO
A 58-year-old man comes to the physician because of blood in his urine. He had a nephrectomy 10 years ago because of injuries sustained in a motor vehicle collision. Evaluation shows renal cell carcinoma in his remaining kidney and pulmonary metastases. Interleukin-2 (IL-2) therapy is started. Three weeks later, CT scan confirms regression of the tumor. Which of the following most likely caused the regression?
A) An effect of IL-2 on tumor vascularization
B) Cytotoxic effects of IL-2 on tumor cells
C) Increased natural killer cell activity
D) Induction of antitumor antibodies by IL-2
E) Induction of B-lymphocyte proliferation
F) Spontaneous remission
MUSCULOSKELETAL
A mother reports that her 1-year-old male infant is less active. Weakness is progressive. The mother says that even though her son is weak, his muscles appear larger than before. The most likely diagnosis is
A) central core disease
B) Duchenne's muscular dystrophy
C) limb-girdle dystrophy
D) myotonic dystrophy
E) nemaline myopathy
CARDIO/INFLAMMATION
A 45-year-old man has a myocardial infarction. A coronary stent restores blood flow, but reperfusion causes a paradoxical increase in damage. Which of the following is the most likely mechanism of the new myocardial damage?
A) Direct poisoning of mitochondrial enzymes
B) Increase in lipid peroxidation of membranes
C) Inhibition of ATPase-dependent transport
D) Loss of intracellular amino acids
E) Prevention of cross-linking of labile amino acids
NUTRITION
A 7-month-old female infant is brought to the physician's office after having a tonic-clonic seizure. Findings include ataxia, hypotonia, hearing loss, hair loss, and a rash. Laboratory studies show normal plasma amino acid concentrations but abnormal urinary organic acid concentrations consistent with multiple carboxylase deficiency. The administration of which of the following is the most appropriate treatment of this patient?
A) Biotin
B) Vitamin B2 (riboflavin)
C) Vitamin B6 (pyridoxine)
D) Vitamin B12 (cyanocobalamin)
E) Vitamin C
CELL INJURY POISONING
A 25-year-old man swallows 100 mL of carbon tetrachloride in a suicide attempt. Which of the following is the most likely outcome?
A) Central nervous system failure as a consequence of DNA damage in neurons
B) Gastric toxicity related to erosive gastritis
C) Heart failure as a result of lipid peroxidation of cardiac myocytes
D) No toxicity because the kidneys will excrete the carbon tetrachloride
E) Severe hepatotoxicity as a consequence of damage to the plasma membranes
GENETICS
A neonate has ambiguous genitalia. In the first 48 hours of life, the neonate feeds poorly and becomes dehydrated. Which of the following is the most likely diagnosis?
A) Androgen insensitivity syndrome
B) 5 -Reductase deficiency
C) 17-Hydroxylase deficiency
D) 21-Hydroxylase deficiency
E) True hermaphroditism
ENDOCRINE
A 27-year-old man is found to have a solitary thyroid nodule during a routine health maintenance examination. A thyroid scintiscan shows uptake of radioactive iodine by the nodule. Which of the following is the most likely diagnosis?
A) Chronic autoimmune (Hashimoto's) thyroiditis
B) Follicular adenoma
C) Granulomatous thyroiditis
D) Medullary carcinoma
E) Papillary carcinoma
DERMATO
A 55-year-old man has had patchy leukoplakia of the anterior floor of his mouth for 4 years. He now has a raised, firm white lesion in the same area. Examination of tissue obtained on biopsy of this new lesion is most likely to show
A) aphthous ulcer
B) Burkitt's lymphoma
C) Candida infection
D) Kaposi's sarcoma
E) mixed tumor of the parotid gland
F) squamous cell carcinoma
G) Warthin's tumor
CARDIO
A 55-year-old man with a long history of poorly controlled hypertension suddenly develops severe retrosternal chest pain that radiates into the upper back between the scapulae. On examination he has diaphoresis and severe shortness of breath. Pulse is 125/min and regular, and blood pressure is 130/60 mm Hg in the left arm and 80/50 mm Hg in the right arm. There are diffuse, wet, inspiratory crackles in both lung fields, distant heart sounds, and a previously undetected grade 2/6, blowing, early diastolic murmur in the second right and third left intercostal spaces adjacent to the sternum. The most likely diagnosis is
A) dissecting aortic aneurysm
B) myocardial infarction
C) pericarditis with tamponade
D) pulmonary embolism
E) ruptured chordae tendineae
F) ventricular septal rupture
NEURO
A 65-year-old man dies of bronchopneumonia. He has a 6-year history of progressive loss of facial expression, tremors, rigidity, and slowing of voluntary movement. At autopsy, loss of pigmented cells is noted in the substantia nigra. Which of the following additional abnormalities is most likely to be present?
A) Eosinophilic inclusions (Lewy bodies) in neurons of the substantia nigra
B) Loss of neurons in the caudate nuclei
C) Microglial nodules and multinucleated giant cells in the white matter
D) Neurofibrillary tangles in the cortical neurons
E) Viral inclusions in the oligodendrocytes
NEUMO
A 31-year-old woman is admitted to the hospital in labor at 28 weeks' gestation. Administration of which of the following will most likely enhance production of surfactant by fetal type II alveolar cells?
A) Corticosteroids
B) Glucagon
C) Growth hormone
D) Insulin
E) Somatostatin
NEUMO
A homeless 38-year-old man has a 3-month history of decreased appetite, generalized wasting, a low-grade fever, and worsening cough productive of bloody, mucopurulent sputum. He has a 3-year history of alcohol abuse. X-ray films of the chest show consolidation and cavitary lesions in the apices of the lungs. Which of the following is the most likely inflammatory and/or immune response in the lung?
A) Endothelial cell proliferation, vascular budding, fibroblasts
B) Epithelioid cells, multinucleated giant cells, caseation necrosis
C) Fibroblasts, collagen deposition, replacement of intrinsic tissue
D) Macrophages, lymphocytes, hypergammaglobulinemia
E) Neutrophils, vascular congestion, exudates
GASTRO
A 45-year-old man has a 6-month history of burning pain that begins in the epigastric area and ascends into the chest. Episodes occur most frequently after large meals and at night. Endoscopic examination shows moderately severe inflammation in the distal 3 cm of the esophagus. Which of the following is the most likely cause of this condition?
A) Diffuse spasm of the esophageal musculature
B) Failure of the lower esophageal sphincter to relax after a swallow
C) Helicobacter pylori infection
D) Hypersecretion of gastric acid
E) Inappropriate relaxation of the lower esophageal sphincter
LYMPHOPROLIF
A 70-year-old woman has increasing weakness, weight loss, generalized lymph node enlargement, and hepatosplenomegaly. Laboratory studies show absolute lymphocytosis with the majority of cells being CD5+. The patient also has a mild antiglobulin-positive hemolytic anemia. Karyotype is normal. Which of the following is the most likely diagnosis?
A) Acute lymphoblastic leukemia
B) Acute promyelocytic leukemia
C) Chronic lymphocytic leukemia
D) Chronic myeloid leukemia
E) Fanconi's anemia
F) Hairy cell leukemia
G) Myelodysplastic syndrome
H) Myeloid metaplasia with myelofibrosis
I) Polycythemia vera
GASTRO
A 50-year-old woman is evaluated for occult blood in the stool. Colonoscopy shows a 5-cm sessile mass with a velvety surface that projects about 2 cm above the mucosa of the rectosigmoid. Microscopic examination of tissue obtained on biopsy of the mass shows papillae composed of delicate fibrovascular cores covered by dysplastic columnar epithelium. This patient is at increased risk for which of the following colonic neoplasms?
A) Adenocarcinoma
B) Carcinoid
C) Fibrosarcoma
D) Leiomyosarcoma
E) Lymphoma
F) Squamous carcinoma
MUSCULOSKELETAL / ENDOCRINE
A 25-year-old woman has had generalized bone pain for 9 years. She has frequent episodes of loose bulky stools. Examination shows muscle weakness and a distended abdomen. X-ray films show generalized demineralization of bones, absence of the lamina dura, and fracture-like lines in the bones of the feet. Which of the following sets of findings in serum is most likely in this patient?
Calcium Phosphorus Alkaline phosphatase Parathyroid hormone
A) ↓ ↓ ↑ ↑
B) ↓ ↑ ↑ ↓
C) ↓ ↑ ↑ ↑
D) ↑ ↓ ↓ ↓
E) ↑ ↓ ↓ ↑
CARDIO / INFLAMMATION
A 45-year-old woman has an acute coronary occlusion. Within seconds, the ischemic region shows mitochondrial swelling and depletion of glycogen granules. Which of the following metabolic events is the most likely cause of these cellular changes?
A) Accumulation of free fatty acids
B) ATP depletion
C) Degradation of membrane phospholipid
D) Efflux of K+
E) Influx of Na+
RENAL
A 4-year-old girl is brought to the emergency department because of a 5-day history of fever, diffuse abdominal pain, nausea, vomiting, and diarrhea. Examination shows petechiae, hepatomegaly, and splenomegaly. Hemoglobin concentration is 8.7 g/dL and platelet count is 60,000/mm3. A peripheral blood smear shows erythrocyte fragmentation. Which of the following renal findings is most likely to be associated with her condition?
A) Glomerular crescent formation
B) IgG-associated glomerular basement membrane antibody
C) Membranoproliferative glomerulonephritis
D) Narrowing of the capillary wall by fibrin deposition
E) Periglomerular granuloma with giant cells
GASTRO
A 48-year-old man with a long history of alcohol abuse has painless vomiting of large amounts of bright red blood. Heart rate is 110/min and blood pressure is 80/0 mm Hg. He dies despite rapid transfusion of packed erythrocytes. At autopsy, the source of the hemorrhage is found in the lower esophagus. A photograph of the site is shown. Which of the following mechanisms most likely caused the hemorrhage?

A) Alcohol-induced esophagitis
B) Deficiency in hepatic synthesis of vitamin K-dependent coagulation proteins
C) Mechanical tearing of the esophageal mucosa during vomiting
D) Peptic ulceration of esophageal mucosa due to reflux of gastric acid
E) Transmission of portal hypertension to esophageal veins
CARDIO
A 67-year-old woman has the sudden onset of dyspnea and chest pain and dies within minutes. Stage IV ovarian cancer was diagnosed 1 year ago, and she has been bedridden for 2 months. Which of the following is most likely to be found on autopsy?
A) Acute myocardial infarction
B) Deep venous thrombosis
C) Dissecting aortic aneurysm
D) Renal papillary necrosis
E) Ruptured berry aneurysm
IMMUNO
A 4-month-old boy is admitted to the hospital with disseminated candidiasis. He has had several episodes of upper respiratory viral infections and has a history of tetany. Two months ago, his serum calcium concentration was 2.0 mg/dL. Truncus arteriosus was diagnosed. He was given vitamin D and calcium supplements and was discharged at 1 month of age. Which of the following sets of laboratory findings is most likely at this time?
Gamma globulins Peripheral lymphocytes Mediastinal shadow on x-ray films
A) Decreased decreased narrowed
B)
C) Normal decreased narrowed
D) Increased increased widened
E) Increased increased narrowed
FEMALE PARTE
A sexually active 18-year-old woman comes to the physician's office because of fever, lower abdominal pain, and a purulent vaginal discharge for the last 3 weeks. A tender mass is palpated in the right lower quadrant on bimanual examination. Which of the following is the most likely site of the mass?
A) Ovary
B) Fallopian tube
C) Uterine fundus
D) Uterine body
E) Vagina
F) Bladder
G) Rectum
CARDIO
A 72-year-old man comes to the physician because of an 8-month history of feeling light-headed when he stands up. Blood pressure is 130/85 mm Hg while supine and 94/64 mm Hg while standing. High-dose fludrocortisone therapy is started. After 5 days of treatment, laboratory studies are most likely to show which of the following changes?
Serum Urine
K+ Renin K+ excretion
A) ↓ ↑ ↑
B) ↓ ↑ ↓
C) ↓ ↓ ↑
D) ↑ ↑ ↓
E) ↑ ↓ ↑
F) ↑ ↓ ↓
MUSCULOSKELETAL/ ACTIONS
A 61-year-old man has a 3-month history of dull, aching pain on the left side of his chest. Which of the following is the most appropriate next step in evaluation of this patient?
A) Ask him about his past medical history
B) Ask him about his family history
C) Ask him for additional details about his chest pain
D) Order an exercise stress test
E) Perform a cardiovascular examination
DERMATO

A 35-year-old woman has had twelve 0.5 to 1.5-cm lesions on her neck, trunk, and limbs for the past 5 years. A lesion on her arm is shown. Which of the following is the most likely diagnosis?
A) Chronic hepatic disease
B) Cushing's syndrome
C) HIV infection
D) Melatonin excess
E) Neurofibromatosis
NEUMO
A 74-year-old man has a cough. On auscultation of the right posterior chest, the patient's spoken 'ee' sounds more like 'ay.' Which of the following conditions on the right is most likely?
A) Bronchopleural fistula
B) Lower lobe consolidation
C) Middle lobe atelectasis
D) Pleural effusion
E) Pleural plaque
F) Pneumothorax
G) Sequestration
GASTRO
A 2-year-old child has a hemorrhage in the lower gastrointestinal tract. A Meckel's diverticulum is surgically resected. What kind of ectopic tissue is most likely to be present in the diverticulum?
A) Biliary
B) Colonic
C) Duodenal
D) Gastric
E) Splenic
ENDOCRINE
A neonate with swelling of the neck has a decreased serum thyroxine (T4) concentration and an increased serum thyroid-stimulating hormone concentration. Which of the following agents chronically ingested by the mother during the pregnancy is the most likely cause of these findings?
A) Corticosteroids
B) Propranolol
C) Propylthiouracil
D) Thyroxine (T4)
E) Triiodothyronine (T3)
CARDIO/NEUMO/INFLAMM
A 56-year-old man has had fever and pleuritic chest pain for 1 day. He was admitted to the hospital 3 weeks ago because of an acute transmural anterior myocardial infarction. He has taken a β-adrenergic blocking agent and aspirin since being discharged. A friction rub is heard over his precordium. Which of the following is the most likely cause of the current findings?
A) Adverse drug effect
B) Aortic dissection
C) Autoimmune reaction
D) Postviral inflammation
E) Recurrent ischemia
ENDOCRINE_RENAL
A 35-year-old woman has had type 1 diabetes mellitus for 20 years and microalbuminuria for 3 years. Which of the following findings is most likely on examination of tissue obtained on renal biopsy?
A) Corticomedullary cysts
B) Diffuse glomerulosclerosis
C) Endothelial cell proliferation
D) Glomerular crescents
E) Glomerular leukocytic infiltration
MUSCULOSKELETAL
A 26-year-old woman has a 3-week history of joint pain and a photosensitive rash on her face and other exposed parts of her body. Which of the following tests is most useful in confirming the diagnosis?
A) Antibodies against native DNA (double-stranded DNA)
B) Antibodies against rubella virus
C) Erythrocyte sedimentation rate
D) Leukocyte count
E) Rheumatoid factor assay
F) Serologic test for syphilis
G) Total hemolytic complement concentration
MALE PART
A 72-year-old man has difficulty initiating urination. Digital rectal examination shows an enlarged, firm prostate. An assay for serum prostate-specific antigen is 3.5 μg/L (reference range = 05). Examination of tissue obtained on biopsy of the prostate is most likely to show
A) adenocarcinoma
B) chronic prostatitis
C) epithelial dysplasia
D) glandular hyperplasia
E) leiomyoma
28.CARDIO

Nine months ago, a 60-year-old man had a myocardial infarction of his left anterior ventricular wall. Recovery was uneventful. A photomicrograph of the area of infarction is shown. Which of the following macrophage products is primarily responsible for the dominant feature in the area surrounding the X?
A) Fibroblast growth factor
B) Formylated peptides
C) Interferon-γ
D) Leukotriene D4
E) Neutral proteases
F) Nitric oxide
INFLAMMATION/ NEUMO
A 42-year-old man with pneumococcal pneumonia has acute fibrinous pleuritis. Which of the following proteolytic enzymes is required to eliminate the exudate and restore normal pleural anatomy?
A) Collagenase
B) Plasmin
C) Stromeolysin
D) Thrombin
E) Trypsin
NUTRITION/VITAMINS/ LYMPHOPROLIF
Several clinical trials have suggested that retinoic acid can induce remission in patients with acute promyelocytic leukemia. Such remission is related to the ability of retinoic acid to promote which of the following?
A) Differentiation of leukemic cells
B) Differentiation of monocytes into macrophages
C) Generation of cytotoxic T lymphocytes
D) Production of interferon
E) Repair of DNA damage
COAGULATION
A 32-year-old man has a family history of bleeding. Partial thromboplastin and bleeding times are prolonged, aggregation of platelets with ristocetin is absent, and factor VIII (antihemophilic factor) concentration is decreased. The most likely diagnosis is
A) deficiency of antithrombin III
B) disseminated intravascular coagulation
C) hemophilia A
D) hepatic failure
E) von Willebrand's disease
ENDOCRINE
A 23-year-old woman has had intermittent amenorrhea since the birth of her first child 5 years ago. She received 10 units of blood during her delivery. Her skin is thick and doughy. She has no energy and is depressed. Which of the following is the most likely cause of her symptoms?
A) Adrenocortical insufficiency
B) Chronic fatigue syndrome
C) Hemochromatosis
D) HIV infection
E) Pituitary necrosis
HEMATO
A 25-year-old woman, gravida 1, para 0, who is Rh-negative, delivers a full-term Rh-positive neonate. The mother is given prophylactic anti-Rho(D) immune globulin immediately post partum. During her second pregnancy 3 years later, she is screened each trimester for Rho(D) antibodies. An indirect antiglobulin test done during the third trimester indicates the presence of anti-Rho(D) antibodies in her serum. Which of the following is the most likely mechanism for the occurrence of these maternal antibodies?
A) Anamnestic production of maternal anti-Rho(D) immunoglobulin
B) Intrauterine transplacental fetal-maternal hemorrhages during the second pregnancy
C) Residual circulating prophylactic anti-Rho(D) immunoglobulin
D) Transplacental passage of fetal IgG anti-Rho(D) antibodies
NUTRITION
5. Compared with a person who follows a lacto-ovo vegetarian diet, a person whose vegetarian diet does not permit intake of milk or eggs is most likely to have a deficiency of
A) folate
B) vitamin A
C) vitamin B12 (cyanocobalamin)
D) vitamin C
E) Vitamin D
NEUMO
|
A 49-year-old man has a 1-week history of shortness of breath without fever, chills, or cough. Breath sounds are decreased in the left lower lobe, and there is decreased vocal and tactile fremitus and dullness to percussion in this area. The most likely diagnosis is |
|
A |
bronchiectasis |
|
B |
bronchospasm |
|
C |
emphysema |
|
D |
interstitial infiltrate |
|
E |
lobar consolidation |
|
F |
pleural effusion |
|
G |
pneumothorax |
ENDOCRINE
|
A 50-year-old woman comes to the physician because of a visible painless lump in her neck for the past 6 months. Her pulse is 80/min, respirations are 14/min, and blood pressure is 120/70 mm Hg. She has an enlarged, nontender thyroid gland. Initial thyroid function studies are normal. Her serum thyroid-stimulating hormone (TSH) concentration is 15 μU/mL, and serum thyroxine (T4) concentration is 3.5 μg/dL. Which of the following describes the most likely pathologic findings in her thyroid gland? |
|
A |
Absence of thyroglobulin |
|
B |
Heavy lymphocyte infiltrate with germinal center formation |
|
C |
Noncaseating granulomas |
|
D |
Presence of an antibody that simulates the action of TSH |
|
E |
Regenerative nodules with lakes of excess thyroid proteins |
GENETICS
|
Mutations in the cystic fibrosis transmembrane conductance regulator (CFTR) protein alter which of the following ion transport mechanisms? A ) Ca2+-activated Cl secretion B ) Ca2+-activated Cl uptake C ) Cyclic AMP (cAMP)-stimulated Cl secretion D ) cAMP-stimulated Na+ secretion E ) cAMP-stimulated Na+ uptake CARDIO |
|
|
A 70-year-old man has severe atherosclerotic disease of the abdominal aorta that obstructs the ostia of the superior and inferior mesenteric arteries. He has intermittent episodes of abdominal pain and bloody diarrhea. Which of the following regions of the bowel is likely to be most severely affected? |
A ) Ascending colon
B ) Descending colon
C ) Hepatic flexure
D ) Splenic flexure
E ) Transverse colon
DERMATO
|
A 73-year-old woman has a 1-cm, scaly, raised lesion on the right side of the face. A photomicrograph of tissue obtained on biopsy of the excised lesion is shown. Use of which of the following is most likely to have prevented the development of this lesion? |

A ) Conjugated estrogen
B ) Isoniazid
C ) Sunscreen
D ) Tretinoin cream
E ) Triamcinolone cream
F ) Vitamin C
G ) Vitamin E cream
NEUMO
|
Examination of the lungs at autopsy shows nodular areas of chronic pneumonitis with necrotizing arteritis and focal collections of epithelioid histiocytes. The most likely diagnosis is |
A ) desquamative interstitial pneumonia
B ) Goodpasture's syndrome
C ) histiocytosis X
D ) idiopathic pulmonary fibrosis
E ) pulmonary alveolar proteinosis
F ) sarcoidosis
G ) Wegener's granulomatosis
RENAL
|
A 40-year-old woman has recurrent calcium-containing renal calculi. Which of the following strategies is most likely to decrease her risk for forming additional calculi? |
|
A |
Administration of a thiazide diuretic |
|
B |
Alkalinization of the urine |
|
C |
Ingestion of a high-oxalate diet |
|
D |
Ingestion of a high-protein diet |
|
E |
Restriction of fluid intake |
RENAL
30. A 39-year-old woman with rheumatoid arthritis develops proteinuria after treatment with penicillamine. Examination of tissue obtained on renal biopsy shows diffuse fine granular deposits of IgG and C3 in the glomerular basement membrane. The most likely diagnosis is
A) focal segmental sclerosis
B) Goodpasture's syndrome
C) IgA nephropathy
D) membranous glomerulonephritis
E) minimal change disease
FEMALE/GYNECO
|
An asymptomatic 65-year-old woman comes to the gynecologist for a routine examination. Physical examination shows a left adnexal enlargement that was not present 1 year ago. Which of the following is the most likely diagnosis? |
A ) Endometriosis
B ) Leiomyoma
C ) Ovarian tumor
D ) Polycystic ovarian disease
E ) Ruptured luteal cyst
LYMPHO
32. Latent infection with which of the following viruses is associated with expression of some (but not all) viral genes in B lymphocytes?
A ) Epstein-Barr virus
B ) Hepatitis B virus
C ) Measles virus
D ) Simian virus 40
E ) Varicella-zoster virus
MUSCULOSKELETAL
34. A full-term male neonate is born with a 4x4-cm mass posterior to the right sternocleidomastoid muscle. Delivery was uncomplicated and Apgar scores were 9 and 9 at 1 and 5 minutes, respectively. The mass is unilocular and filled with watery fluid; no other abnormalities are present. The most likely diagnosis is
A ) branchial cyst
B ) cystic hygroma
C ) preauricular sinus
D ) thyroglossal duct cyst
E ) Zenker's diverticulum
LYMPHO
|
A
32-year-old man has had malaise, a low-grade fever, and a 4.5-kg (10-lb)
weight loss over the past 3 months. He has unilateral cervical
lymphadenopathy. Laboratory studies show:
|
A ) abnormal utilization of iron
B ) extravascular hemolysis
C ) folate deficiency
D ) iron deficiency
E ) marrow aplasia
NEURO
|
A 35-year-old woman at 18 weeks' gestation has an increased serum α-fetoprotein concentration. Which of the following has the greatest influence in determining the predictive value of this test for neural tube defects? |
A ) Concentration of α-fetoprotein in maternal serum
B ) Maternal history of monozygotic twin pregnancies
C ) Prevalence of neural tube defects in the population in question
D ) Sensitivity of the test
E ) Specificity of the test
GASTRO
37. A 45-year-old man has nausea, vomiting, and abdominal pain. He has tachycardia, absent bowel sounds, and involuntary guarding and rebound tenderness of the abdomen. The most likely cause of these findings is
A ) cholecystitis
B ) gastritis
C ) gastroenteritis
D ) peritonitis
E ) small bowel obstruction
NEUMO
|
A 40-year-old man is brought to the emergency department after being exposed to ozone and nitrogen dioxide at a factory. He dies shortly thereafter. At autopsy, examination of tissue taken from a lung biopsy suggests damage to his alveolar epithelium. If he had survived, this layer would have likely been regenerated within several weeks by which of the following cells? |
A ) Clara cells
B ) Endothelial cells
C ) Reticular cells
D ) Type I pneumocytes
E ) Type II pneumocytes
NUTRITION- GASTRO
42. A 47-year-old man undergoes resection of his entire stomach for intractable bleeding from a gastric ulcer. After recovery, he is at increased risk for which of the following?
A ) Copper deficiency
B ) Vitamin A deficiency
C ) Vitamin B6 (pyridoxine) deficiency
D ) Vitamin B12 (cyanocobalamin) deficiency
E ) Vitamin C deficiency
CARDIO
47. A 65-year-old woman develops a proximal deep venous thrombosis 1 week after an elective total hip replacement. What is the mechanism of intravenous heparin in treating this disorder?
A ) Activation of plasmin
B ) Facilitation of inactivation of thrombin by antithrombin III
C ) Inhibition of activation of tissue plasminogen
D ) Inhibition of vitamin K-dependent coagulation factors
E ) Reversible inhibition of protein C and protein S activity
DERMATO

|
A neonate is born with the abnormality shown. Abnormally robust activity of which of the following processes is the most likely cause of this malformation? |
A ) Angiogenesis
B ) Cell adhesion
C ) Cell migration
D ) Gastrulation 5 4545
E ) Somitogenesis
ENDOCRINE
|
A 30-year-old woman has a 10-month history of a whitish discharge from both breasts. Her last menstrual period was 9 months ago. She had a bilateral tubal ligation 4 years ago after the birth of her third child. Palpation of the breasts discloses no masses. Whitish fluid is expressed bilaterally on compression of the nipples. The most likely diagnosis is |
A ) bilateral mastitis
B ) intraductal carcinoma of the breast
C ) metastatic carcinoma of the breast
D ) pituitary adenoma
E ) premature menopause
ENDOCRINE
|
Over the past 6 months, a 54-year-old woman has had several episodes of nervousness in which her heart pounds and her skin becomes clammy. She has also had difficulty sleeping and recently developed hypertension. The most likely cause is a neoplasm in which structure labeled on the cross-sectional drawing of the abdomen at the level of T-12 to L-1? |

A) B) C) D) E) F) G) H) I)
CARDIO
An 85-year-old woman who was admitted to the hospital 3 days ago for myocardial infarction has a radionuclide scan that shows damage to the anterior wall of the left ventricle. Which of the following coronary vascular structures was most likely occluded?
A) Circumflex artery
B) Coronary sinus
C) Left anterior descending artery
D) Posterior descending artery
E) Right coronary artery
F) Right marginal artery
HEMATO
|
A 10-year-old girl has fever, fatigue, and easy bruising. Laboratory studies show:
|
A) aleukemic leukemia
B) aplastic anemia
C) immune thrombocytopenic purpura
D) myelofibrosis
E) vitamin B12 (cyanocobalamin) deficiency
MUSCULOSKELETAL
|
A 20-year-old man has had increasingly severe muscle weakness and incapacitation. He has used a wheelchair for ambulation since he was 10 years of age. Examination of tissue obtained on biopsy of a calf muscle when he was 6 years old showed a mixed pattern of muscle fiber necrosis alternating with hypertrophy and regeneration of residual muscle fibers. At age 18 years, biopsy findings showed virtually complete replacement of muscle by fibrofatty tissue. Which of the following cellular proteins is most likely to be missing from this patient's muscles? |
A ) Actin
B ) Desmin
C ) Dystrophin
D ) Spectrin
E ) Vimentin
GASTRO
|
A
32-year-old woman who is an editor for a publishing company comes to the
physician because of intermittent diarrhea for the past 10 years, which
occurs three to four times per year, lasts 2 to 4 days, and is associated
with deadlines at work. During these episodes, the stool is loose and
contains no melena or bright blood. Between episodes of diarrhea, she
occasionally has one bowel movement every 4 to 7 days; the stool is hard and
'pellet-like.' She drinks one glass of wine daily. Physical
examination shows no abnormalities. Laboratory studies show:
Which of the following is the most likely diagnosis? |
|
A |
Crohn's disease |
|
B |
|
|
C |
Diverticulitis |
|
D |
Irritable bowel syndrome |
|
E |
Small bowel lymphoma |
|
F |
Ulcerative colitis |
NEURO
|
Over a period of 3 years, a 40-year-old man develops generalized dystonic, hyperkinetic movements and progressive dementia. His mother and one sister have a similar disease, but his father and another sister are healthy. Which of the following lesions is most likely to be present in the central nervous system of the patient and his affected family members? |
|
A |
Atrophy of the caudate nuclei |
|
B |
Loss of pigmented cells in the substantia nigra |
|
C |
Microglial nodules and multinucleated giant cells in the white matter |
|
D |
Neurofibrillary tangles in the cortical neurons |
|
E |
Spongiform changes in the cerebral cortex |
NUTRITION
|
A
5-year-old girl from sub-Saharan |
|
A |
Decreased interstitial fluid volume |
|
B |
Decreased interstitial hydrostatic pressure |
|
C |
Decreased plasma oncotic pressure |
|
D |
Increased capillary hydrostatic pressure |
|
E |
Increased plasma volume |
MUSCULOSKELETAL
|
A 63-year-old woman has pain in the back. An x-ray film of the spine shows a vertebral compression fracture. Measurement of bone mineral density is markedly below the reference range. Serum concentrations of calcium, phosphorus, albumin, and creatinine, and activity of alkaline phosphatase are all within the reference range. Urine calcium and protein concentrations are normal. The most likely diagnosis is |
|
A |
Fanconi's syndrome |
|
B |
hyperparathyroidism |
|
C |
osteitis deformans (Paget's disease) |
|
D |
osteomalacia |
|
E |
osteoporosis |
ENDOCRINE
|
A 22-year-old woman is concerned about her risk for developing diabetes because her mother has type 2 diabetes mellitus. Which of the following is the primary defect thought to predispose individuals towards the development of type 2 diabetes mellitus? |
A) Anti-insulin receptor antibodies
B) Autoimmune destruction of pancreatic β cells
C) Dysregulation of pancreatic β cells
D) Increased peripheral insulin resistance
E) Suppressed hepatic glycogen synthesis
ENDOCRINE
|
A 42-year-old woman reports fatigability, nervousness, irritability, and heat intolerance. She has a diffuse goiter, exophthalmos, and pretibial edema. Circulating antibodies to which of the following are most likely to be found in this patient? |
|
A |
Microsomal protein |
|
B |
Reverse triiodothyronine (rT3) |
|
C |
Thyroglobulin |
|
D |
Thyrotropin |
|
E |
Thyrotropin receptor |
|
CARDIO A 68-year-old man has heterozygous familial hypercholesterolemia. Which of the following agents will decrease plasma VLDL and LDL concentrations but will cause cutaneous vasodilation that subsides with repeated doses? |
|
A |
Niacin |
|
B |
Nitric oxide |
|
C |
Prostacyclin (PGI2) |
|
D |
Prostaglandin E2 |
|
E |
Substance P |
|
F |
Thyroxine (T4) |
|
G |
Vasoactive intestinal polypeptide |
|
H |
Vitamin B6 (pyridoxine) |
CARDIO
|
A
55-year-old man with a 10-year history of poorly controlled hypertension has
had increasing dyspnea for the past 3 days. Last night he slept sitting
in a chair. Vital signs are:
|
A ) a midsystolic click
B ) an opening snap
C ) a pericardial rub
D ) a splitting of S2
E ) an S3
|
Politica de confidentialitate | Termeni si conditii de utilizare |
Vizualizari: 11751
Importanta: ![]()
Termeni si conditii de utilizare | Contact
© SCRIGROUP 2025 . All rights reserved